我常聽到病人抱怨,明明早晚都刷牙,為什麼牙齒表面還是感覺澀澀的,舌頭舔上去粗糙不平,甚至牙醫檢查時還是說有牙菌斑堆積?這個問題困擾了很多人。我自己也曾經有過這個迷思,以為用力刷、刷久一點就能解決。直到在臨床上看過無數案例,才明白「牙菌斑刷不掉」背後,通常不是清潔時間的問題,而是方法與觀念的全面失誤。這篇文章,我想用最直白的方式,拆解這個讓人頭痛的狀況。
牙菌斑是什麼?為什麼它那麼頑固?
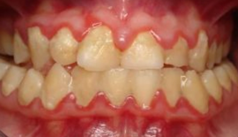
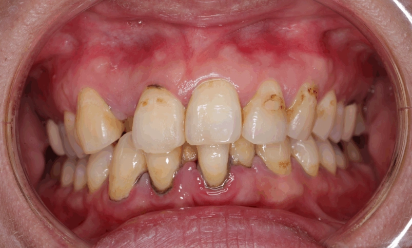
首先,我們得搞清楚敵人是誰。牙菌斑不是食物殘渣,它是一層由細菌、細菌代謝產物、唾液蛋白和食物殘渣混合而成的「生物膜」。你可以把它想像成一個結構緊密的細菌城市,牢牢黏附在你的牙齒表面,尤其是牙齦邊緣和牙縫這些牙刷不容易清潔到的死角。
它剛形成時是軟的,可以用物理方式(刷牙)清除。但如果你沒清乾淨,大約24到72小時後,它就會開始礦化,吸收唾液中的鈣質,逐漸變硬成為「牙結石」。一旦變成牙結石,就像水泥糊在牆上,靠刷牙是絕對刷不掉的,必須由牙醫透過專業器械(如超音波洗牙機)才能清除。根據美國牙科協會的資料,牙菌斑是導致齲齒和牙周病的元兇。
關鍵點: 你對抗的是一個會「蓋房子」的細菌社群。清潔的黃金時間是在它軟軟的時候,一旦它「地基」穩固了,你就得找專業人士幫忙了。
牙菌斑刷不掉的三大主因分析
根據我的觀察,問題通常出在以下三個環節,而且很多人是三個都中。
1. 工具選錯了
很多人一把牙刷用半年,刷毛都開花了還捨不得換。開花的刷毛清潔效率極低,根本無法有效刮除牙菌斑。另一種極端是選用刷毛過硬的牙刷,以為這樣才能刷得乾淨,結果反而傷害牙齦,導致萎縮,讓牙根暴露處更容易堆積牙菌斑。
電動牙刷是個好幫手,但如果你只是把刷頭放在牙齒上亂晃,沒有系統性地一顆一顆牙齒移動清潔,效果同樣打折扣。我見過不少病人買了昂貴的聲波牙刷,卻因為使用方式錯誤,清潔效果還不如正確使用的手動牙刷。
2. 方法完全錯誤
這是最大的癥結點。多數人習慣「拉鋸式」橫刷,這種方式對於牙齒表面的牙菌斑清除力很弱,而且容易磨耗牙頸部,造成楔形缺損。正確的方式應該是「貝氏刷牙法」,將刷毛對準牙齒與牙齦交界處,涵蓋一點點牙齦,以兩顆牙為單位,小幅水平震動,再往咬合面拂刷。
更關鍵的是「順序」。沒有順序的亂刷,百分之百會遺漏某些區域,尤其是後牙內側和最後一顆牙的後面。我自己會建議病人從右上外側開始,依序繞口腔一圈,確保每顆牙的三個面(外側、內側、咬合面)都被照顧到。
3. 忽略了最重要的區域:牙縫
牙刷的刷毛再細,也無法進入牙縫深處進行有效清潔。牙縫是牙菌斑和食物殘渣的「高級住宅區」。如果你只用牙刷,等於只清潔了牙齒表面的60%。牙線或牙間刷才是清潔牙縫的專屬工具。很多人說用牙線會流血,那正是牙齦發炎的訊號,越不用,發炎越嚴重,形成惡性循環。
個人經驗分享: 我曾經幫一位自認刷牙很認真的患者檢查,他後牙的鄰接面(牙齒彼此緊靠的面)滿是牙菌斑,甚至開始蛀牙,但他渾然不覺。因為那些地方從鏡子裡根本看不見,舌頭也舔不到。這說明了「自我感覺乾淨」和「實際乾淨」之間存在巨大落差。
如何正確選擇對抗牙菌斑的工具?
工欲善其事,必先利其器。以下是針對不同需求的重點工具選擇指南:
| 工具類型 | 推薦選擇要點 | 主要作用與注意事項 |
|---|---|---|
| 牙刷 | 刷頭小、刷毛軟、刷毛頂端磨圓。每1-3個月或刷毛外翻就更換。 | 清潔牙齒外側、內側、咬合面。手動牙刷需注重技巧,電動牙刷(特別是旋轉震動式)能提供更穩定的清潔動作。 |
| 牙線 | 初學者可用帶蠟牙線較易滑入;牙縫緊者可用扁平牙線;有鑲邊或牙橋者需用超級牙線。 | 清潔牙齒鄰接面,是牙刷無法替代的。應每日使用,輕柔地以「C」字形包覆牙側面刮除菌斑。 |
| 牙間刷 | 根據牙縫大小選擇合適尺寸,以能輕鬆進出且有輕微阻力感為宜。勿強行塞入。 | 適合牙縫已因牙周病而變大,或固定式牙橋清潔。清潔效率在某些情況下高於牙線。 |
| 漱口水 | 選擇含氟化物或特定抗菌成分(如氯己定,但需醫師建議)的產品。避免長期使用含酒精的。 | 輔助清潔,殺菌並帶來清新感,但不能替代刷牙和使用牙線。它無法物理性移除已形成的牙菌斑生物膜。 |
一個常見的誤區是過度依賴漱口水。我遇過患者以為用強效漱口水漱口就可以不用牙線,這完全是本末倒置。漱口水好比空氣清新劑,而刷牙用牙線是打掃環境,你不能只噴芳香劑卻不打掃。
牙醫認證的有效刷牙與清潔技巧
這裡不講複雜理論,直接給你可執行的步驟清單。請你今晚刷牙時就試試看。
第一步:使用牙線。在刷牙前先用牙線。為什麼?因為這樣可以把牙縫的髒東西先清出來,接著刷牙時,氟化物牙膏才能更好地滲入牙縫發揮保護作用。將牙線放入牙縫後,不要直接上下拉扯,而是貼緊一側牙面,呈「C」字形上下刮數次,再貼緊另一側牙面重複動作。
第二步:正確刷牙(貝氏刷牙法)。
- 刷毛與牙齒呈45度角,對準牙齦溝。
- 以兩顆牙為一組,水平小幅震動約10-20次。幅度要小,力量要輕(想像是在按摩,而不是刷地板)。
- 震動後,將刷毛往咬合面方向拂刷。
- 按照固定順序:從右上後牙外側開始,刷到前牙,再換左上後牙外側。接著刷左上內側,一路刷到右下內側。最後刷所有的咬合面。
- 別忘了刷舌頭,舌苔也是細菌溫床。
第三步:漱口與工具清潔。刷牙後只需吐掉多餘泡沫,用少量清水漱口一次即可,避免把保護性的氟化物全部沖掉。徹底沖洗牙刷,甩乾水分,刷頭朝上放置於通風處。
這個流程,我建議每天至少徹底執行一次(通常是晚上),因為夜間唾液分泌減少,口腔自潔能力變差,睡前清潔至關重要。
關於牙菌斑的常見迷思與解答
最後我想強調,對抗牙菌斑是一場持久戰,沒有捷徑。它考驗的不是你一次性能刷得多用力,而是你是否能持之以恆地用對方法,照顧到每一個細節。從今天起,拋開錯誤的觀念,拿起合適的工具,用正確的步驟,你會發現那些「刷不掉」的牙菌斑,其實是可以被有效管理的。定期讓牙醫檢查和洗牙,則是為你的口腔健康上的最後一道保險。