裝了牙橋或牙冠,以為可以一勞永逸?很多人忽略了一個沉默的變化:牙齦正在慢慢退縮。我常遇到患者指著牙橋下方變黑的縫隙,或是感覺牙根好像露出來了,緊張地問我:「醫生,我的牙齦是不是不見了?」這不是錯覺,這就是固定假牙周圍常見的「牙齦萎縮」。它不只是美觀問題,更是口腔健康的警訊。今天,我想用多年的臨床經驗,帶你徹底看懂這件事,告訴你為什麼會發生、有哪些補救辦法,以及最重要的——如何從現在開始阻止它惡化。
為什麼固定假牙下的牙齦會萎縮?
牙齦萎縮不是一天造成的。裝了固定假牙(像是牙橋把缺牙兩邊的牙齒套起來,或是單顆的牙冠)之後,那個區域的生態就改變了。很多人以為是假牙「壓迫」到牙齦,其實更常見的是以下幾個原因交錯影響。
清潔的死角與發炎的循環
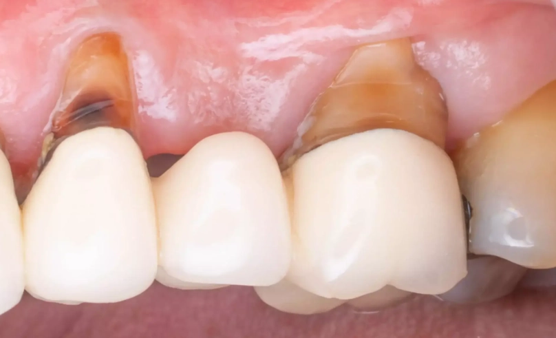
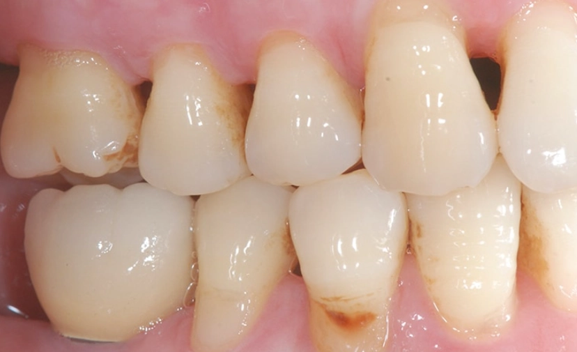
這是最主要的原因,沒有之一。假牙邊緣和牙齦之間,會形成一個非常隱密的「溝隙」。食物殘渣和牙菌斑特別喜歡堆積在這裡。如果你只用一般牙刷隨便刷兩下,根本清不到。我檢查過無數患者,用探針一勾,那個縫隙裡全是軟垢。長期下來,牙齦持續發炎,從牙齦炎演變成牙周病,支撐牙齒的骨頭被破壞,牙齦自然就跟著退縮。這是一個緩慢但不可逆的過程。
假牙邊緣的密合度是隱形殺手
這是技術層面的關鍵,卻很少被患者知道。一個製作精良的假牙,其邊緣必須和牙齒預備處「完全密合」,無縫接軌。如果假牙邊緣有懸突(突出來)、不密合,甚至有一點點縫隙,那就等於給細菌蓋了一個永久堡壘。清潔工具進不去,細菌在裡面開派對,直接侵蝕牙齒和牙周組織。我必須說,很多萎縮問題回頭追蹤,都跟當初假牙製作的精密程度有關。
一個常見的迷思: 很多人覺得牙齦萎縮是「假牙太重」或「年紀大了自然退化」。年紀會有影響,但絕不是主因。我見過太多年輕患者因為清潔不當和假牙問題,萎縮速度比老年人還快。把問題全推給老化,會讓你錯失黃金處理時間。
咬合力道分配不均
尤其是牙橋,它靠兩側的橋墩支撐中間缺牙的空位。如果設計不良,或者對咬牙的咬合點不正確,可能會讓某個橋墩牙承受過大的力量。長期過度負荷,會導致牙周組織受損,也可能加速牙齦和齒槽骨的流失。
簡單來說,你可以把牙齦萎縮想像成土壤流失。清潔不良和假牙問題是暴雨沖刷,咬合問題可能是地震,而生理性的老化則是微風細雨。大多數情況,暴雨才是家園被毀的主因。
| 主要原因 | 具體影響方式 | 患者通常何時發現 |
|---|---|---|
| 清潔死角與牙周發炎 | 牙菌斑堆積於假牙邊緣溝,導致牙齦炎、牙周病,齒槽骨破壞。 | 牙齦紅腫、刷牙流血、假牙邊緣出現黑線、牙縫變大。 |
| 假牙邊緣不密合 | 形成細菌儲藏所,持續刺激牙齦與牙根表面,造成局部嚴重破壞。 | 經常性該處牙齦化膿、有異味,即使認真清潔也無法改善。 |
| 咬合創傷 | 特定牙齒承受過大咬力,導致牙周韌帶受傷與周圍骨質吸收。 | 咀嚼時某顆牙特別酸軟無力,或假牙有搖動感。 |
| 生理性退縮 | 隨著年齡,牙齦組織與骨頭有微量且緩慢的萎縮。 | 整體性、非常緩慢的牙根暴露,通常無明顯發炎。 |
牙齦萎縮了,該怎麼辦?補救方法全解析
發現萎縮,先別慌。第一步永遠是回去找你的牙醫師做全面評估。醫師會用X光片和牙周探針,判斷萎縮的程度、底下骨頭的狀況,以及假牙本身的狀態。補救方式取決於「萎縮造成了什麼問題」以及「你的期望是什麼」。
狀況一:萎縮輕微,主要是美觀與清潔考量
如果只是牙根露出一點點,沒有敏感的症狀,假牙本身也很穩固密合。那麼重點會放在「加強清潔教育」和「監控」。醫師可能會教你使用更精細的工具,如牙間刷、單束毛牙刷,深入清潔假牙邊緣。這時不一定要做侵入性治療,但必須定期回診,防止惡化。
狀況二:萎縮導致明顯黑縫、敏感,或假牙邊緣暴露
這是臨床上最常見需要介入的狀況。牙根暴露會導致冷熱敏感,假牙金屬邊緣露出來會有一條黑線,笑起來很不好看。補救方法有兩種主流:
1. 牙齦移植手術: 這是真正「補肉」的方法。從上顎後方取一小塊結締組織,移植到萎縮的區域,覆蓋暴露的牙根。這個手術技術門檻較高,但成功後效果最自然持久。它不僅改善美觀,更能減少敏感,並為該區域建立更健康的牙齦防線。恢復期大約一兩週,取牙齦處會有點像嘴破的感覺。
2. 調整或重做假牙: 如果萎縮是因為假牙邊緣不密合或位置太深,那麼最根本的解決方式就是拆掉有問題的假牙。在拆除後,醫師會評估牙齒狀況,重新製作一個邊緣位置更正確、密合度完美的假牙。有時候,只是把假牙邊緣往上調整,就能讓牙齦有機會恢復健康。
我記得一位四十多歲的陳小姐,門牙牙橋用了十幾年,下方牙齦嚴重萎縮,金屬邊緣黑黑的一條,她都不敢開懷大笑。檢查發現,舊牙橋邊緣極不密合,且清潔狀況很差。我們決定拆掉舊牙橋,進行牙周治療穩定環境後,執行牙齦移植手術。手術後三個月,粉紅色的牙齦成功覆蓋了暴露區域,再裝上新的全瓷牙冠。她回診時的笑容,和第一次來的時候完全不同。這個案例告訴我們,即使萎縮嚴重,還是有機會透過組合治療來改善。
狀況三:萎縮伴隨嚴重牙周破壞,假牙已經鬆動
如果X光顯示底下的骨頭已經流失大半,假牙搖搖欲墜。這時的選項可能更為決斷。
拔除並考慮植牙: 當自然牙的牙周支持度已無法挽救,勉強保留只會成為感染源。拔除嚴重破壞的牙齒,徹底清創後,可以選擇以「人工植牙」來重建。植牙的好處是,每顆植體是獨立的,不會連累旁邊的牙齒,清潔上也相對直觀,只要照顧得當,能長期維持周圍牙齦和骨頭的穩定。這也是為什麼在條件許可下,對於多顆缺牙,許多醫師會建議以多顆植牙取代傳統長橋,就是為了避免「一顆壞,整組壞」的風險。
選擇哪種方式,需要你和醫師充分溝通,考量預算、治療時間、對美觀的要求,以及長遠的口腔健康規劃。
如何預防固定假牙周圍的牙齦萎縮?
預防絕對勝於治療,尤其是在假牙裝上去的那一刻,預防戰就已經打響。以下是幾個我認為最關鍵,但患者最容易輕忽的點。
清潔工具的升級與技巧
裝了固定假牙,你的清潔裝備必須升級。
- 超級牙線: 不是一般牙線。它一端是硬質引線,可以穿過牙橋底下,另一端是蓬鬆的纖維部分,用來刮除橋體下方的牙菌斑。這是我最推薦牙橋患者一定要學會用的工具。
- 牙間刷: 根據牙縫大小選擇合適的尺寸。重點清潔假牙與鄰牙的縫隙,以及假牙本身兩個牙冠之間的連接處下方。
- 單束毛牙刷或電動牙刷的單束刷頭: 像一支小筆刷,可以精準清潔假牙邊緣與牙齦交界的那條溝。
- 沖牙機: 很好的輔助工具,利用水柱沖走食物殘渣。但請記住,它不能取代物理性的刮除(牙線、牙間刷),水柱沖不走已經黏附的牙菌斑生物膜。
我常對患者說,假牙是你口腔裡的「精緻傢俱」,你要用更細緻的工具去保養它,而不是用掃把隨便揮兩下。
定期的專業追蹤與維護
裝了假牙後,回診頻率可能要比一般人更高。建議每半年回診一次,讓醫師或牙科衛生師幫你檢查:
- 假牙是否有鬆動、破損?
- 邊緣密合度是否依然良好?
- 牙齦是否有發炎、流血或萎縮的跡象?
- 進行專業的假牙周圍清潔,清除你日常清潔無法處理的結石。
這個追蹤至關重要。很多問題可以在早期、症狀還不明顯時就被發現並處理,避免走到需要大手術的地步。
從源頭把關假牙品質
在製作假牙時,選擇信任的醫師與牙技師。一個邊緣密合、形態良好、咬合正確的假牙,是長期成功的基石。不要只比較價格,而要關注製作過程的嚴謹度。好的假牙,能大幅降低未來發生問題的機率。
關於固定假牙與牙齦萎縮的深度問答
假牙邊緣有點黑黑的,是萎縮的前兆嗎?
不一定。那條黑線可能是幾種情況:1. 金屬燒瓷牙冠,金屬邊緣因牙齦萎縮而暴露,這是萎縮的結果。2. 假牙邊緣不密合,色素沉澱或次級齲齒(又蛀掉了)造成的黑。3. 單純的牙齦萎縮,牙根顏色較黃。必須由醫師用工具和X光片鑑別。但無論哪種,出現黑線就是一個明確訊號,告訴你該回去檢查了。
牙齦移植手術會很痛嗎?恢復期要多久?
手術在局部麻醉下進行,過程不會痛。術後的疼痛感因人而異,類似比較大範圍的嘴破傷口,醫師會開立止痛藥和消炎藥。上顎取組織處會有一個保護性敷料,大約一週後脫落。主要的不便是術後一兩週飲食要溫軟,避免刺激傷口。完全穩定、看到最終美觀效果,通常需要兩到三個月。雖然是小手術,但找有經驗的牙周專科醫師執行,成功率和平順度會高很多。
聽說植牙不會有牙周病,那植牙周圍的牙齦就不會萎縮嗎?
這是很大的誤解。植體雖然不會蛀牙,但會得「植體周圍炎」,這是一種類似牙周病的細菌感染。如果清潔不當,植體周圍的牙齦一樣會發炎、流血,骨頭一樣會流失,牙齦也一樣會萎縮,甚至比自然牙還快、還難治療。植牙需要更細心的維護和定期回診,絕非一勞永逸。你可以參考台灣牙周病醫學會對於植體周圍照護的衛教資訊。
我的牙橋用了很多年都沒事,最近才開始萎縮,是假牙突然壞了嗎?
更可能是「累積效應」爆發了。牙周破壞是緩慢的,可能十幾年來清潔都有些微不足,骨頭一點一點流失,直到某個臨界點,牙齦退縮變得肉眼可見。或者是隨著年齡,身體修復能力下降,讓原本勉強維持的平衡被打破。另外,也可能是對咬牙齒位置改變、咬合力道不同了。這提醒我們,即使假牙用了很久,定期的專業評估依然不可或缺。
如果萎縮不嚴重,我可以不管它嗎?
不建議。輕微萎縮是身體給你的黃牌警告。它告訴你,這個區域的清潔或受力可能出了問題。如果放任不管,發炎和破壞很可能持續進行,從「可控制的輕微萎縮」變成「需要大動干戈的嚴重萎縮」。早期介入,也許只需要加強清潔和監測;等到晚期,可能就需要手術或拔除。主動管理永遠比被動放任來得聰明。
固定假牙牙齦萎縮是一個複雜但可管理、可治療的狀況。它的核心在於「長期維護」與「早期發現」。裝了假牙,不代表你可以對那區塊掉以輕心,反而要投入更多關注。希望這篇文章能幫助你了解背後的原理,建立正確的照護觀念,當問題出現時,也知道有哪些路可以走。記住,和你的牙醫師建立良好的溝通與追蹤習慣,是守護你口腔投資最有效的方法。