牙齦萎縮酸不是一個正式的醫學名詞,但它概括了很多人實際的感受——牙齦退縮伴隨酸軟、敏感,甚至疼痛。如果你有這種困擾,這篇文章就是為你寫的。我做了十年牙科保健諮詢,看過太多人因為忽略早期症狀,最後導致嚴重問題。今天,我會直接告訴你核心:牙齦萎縮酸大多可以預防和治療,關鍵在於理解原因並採取正確行動。
快速導覽:這篇文章你會學到什麼
什麼是牙齦萎縮酸?它不只是感覺
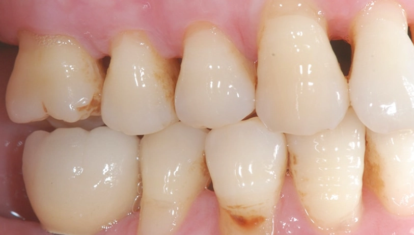
牙齦萎縮酸,簡單說,就是牙齦組織退縮,讓牙根暴露,導致牙齒對冷熱酸甜特別敏感,甚至伴隨酸軟或刺痛感。很多人以為這只是老化現象,但其實年輕人也會遇到。我遇過一個三十歲的上班族,因為工作壓力大,刷牙太用力,半年內牙齦就明顯退縮,吃冰淇淋都受不了。
這裡有個關鍵點:牙齦萎縮本身可能沒有立即痛感,但酸軟感來自牙本質暴露。牙本質裡有無數小管,直接連通神經,一旦失去牙齦保護,外界刺激就直接傳導,造成不適。所以,當你感到酸軟,很可能萎縮已經進行一段時間了。
注意:牙齦萎縮酸不是疾病名稱,而是症狀組合。它可能指向牙周病、刷牙創傷或其他問題。如果你有類似感覺,別拖,盡快找牙醫檢查。
牙齦萎縮酸的主要症狀有哪些?
症狀不只一種,而且會隨程度加重。早期可能很輕微,但忽略的話,問題會惡化。
牙齒敏感:這是最常見的。喝冷水、吃甜食時,牙齒突然酸一下,甚至痛幾秒鐘。很多人以為是蛀牙,但檢查後發現是牙齦萎縮。
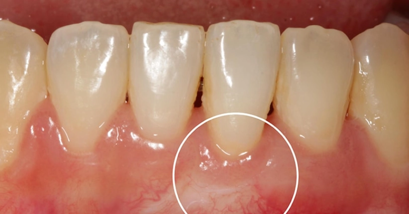
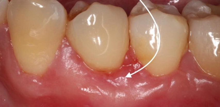
牙根可見:照鏡子看,牙齒看起來變長了,因為牙齦邊緣退下去,牙根部分露出來。顏色上,牙根偏黃,和牙冠不同。
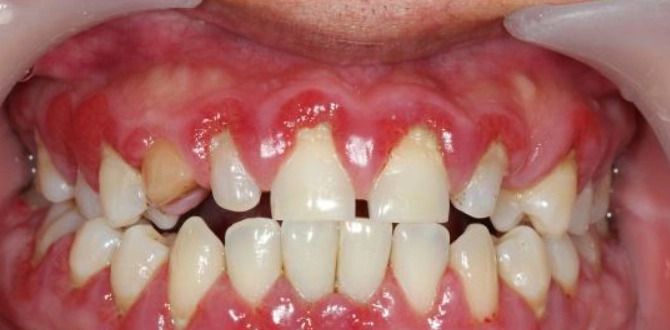
牙齦紅腫或出血:萎縮不一定伴隨發炎,但如果有牙周病,刷牙時容易出血,牙齦看起來紅紅的。我常提醒患者,出血不是正常現象,是警訊。
牙縫變大:牙齦退縮後,牙齒之間的三角空隙變明顯,食物容易卡住,清潔更困難。
還有一個少被提及的症狀:牙齦邊緣有凹陷。你可以用指甲輕輕沿牙齦線劃過,如果感覺不平滑,有微小缺口,可能是萎縮的早期跡象。這點很多新手會忽略,總等到酸軟才行動。
導致牙齦萎縮酸的常見原因
原因很多,但八成以上和日常習慣有關。以下是幾個主要因素:
刷牙太用力:這是最大元兇。很多人以為用力刷才乾淨,其實反而傷害牙齦。我見過用硬毛牙刷猛刷的人,牙齦像被磨掉一樣。建議用軟毛牙刷,輕輕畫圈。
牙周病:細菌感染導致牙齦發炎,破壞支撐組織,讓牙齦退縮。根據台灣牙科醫學會的資料,牙周病是成人掉牙的主因之一。如果不及時治療,萎縮會加速。
牙齒排列不齊:牙齒擁擠或錯位,清潔不易,容易堆積牙菌斑,長期下來影響牙齦健康。
磨牙或緊咬:夜間磨牙會對牙齒和牙齦施加過大壓力,導致萎縮。很多人不知道自己有這習慣,直到牙醫指出。
不良假牙或牙科治療:不合適的假牙邊緣可能摩擦牙齦,造成創傷。選擇經驗豐富的牙醫很重要。
還有一個原因很少人談:營養缺乏。維生素C不足會影響牙齦健康,讓組織脆弱。如果你飲食不均衡,可能間接導致問題。
如何診斷牙齦萎縮酸?別自己猜
診斷必須靠專業牙醫。自我判斷容易誤導,延誤治療。
牙醫通常會做以下檢查:
視診和探測:用探針測量牙齦袋深度,評估萎縮程度。正常深度在1-3毫米,超過可能表示牙周病。
X光檢查:看牙槽骨是否流失,這是萎縮的根源。骨頭流失越多,萎縮越難逆轉。
詢問病史和習慣:牙醫會問你的刷牙方式、飲食、是否有磨牙等,找出潛在原因。
我建議每年至少洗牙一次,並請牙醫檢查牙齦狀況。早期發現,處理起來簡單得多。
有效治療牙齦萎縮酸的方法
治療取決於原因和嚴重程度。沒有單一方案,必須客製化。
非手術治療
如果萎縮輕微,沒有嚴重骨流失,可以從基本護理開始。
改善刷牙技巧:改用軟毛牙刷,刷牙角度傾斜45度,輕輕震動清潔牙齦線。電動牙刷有壓力感應功能,可以避免過度用力,我個人推薦給容易手重的人。
使用抗敏感牙膏:含硝酸鉀或氟化物的牙膏,可以阻塞牙本質小管,減輕酸軟感。但這只是治標,必須配合其他治療。
專業洗牙和根面平整:牙醫會清除牙結石和菌斑,讓牙齦有機會重新附著。這需要定期進行。
手術治療
如果萎縮嚴重,暴露大片牙根,可能需要手術。
牙齦移植術:從上顎取一小塊組織,移植到萎縮區域,覆蓋牙根。這能改善美觀和敏感問題。恢復期約兩週,成功率很高。
引導組織再生術:使用特殊膜材料,刺激牙周組織再生。適合骨流失較多的案例。
治療後,維持口腔衛生是關鍵。否則問題可能復發。
預防牙齦萎縮酸的實用技巧
預防永遠比治療容易。以下是我總結的實用技巧,很多來自臨床經驗。
正確刷牙:每天兩次,每次兩分鐘。用牙線或牙間刷清潔牙縫,這是牙刷無法到達的地方。我見過太多人只刷牙面,忽略牙縫,結果牙齦從那裡開始萎縮。
定期牙科檢查:每半年洗牙一次,讓牙醫監控你的牙齦健康。早期問題可以及時糾正。
避免硬食物和壞習慣:別用牙齒開瓶蓋或咬硬物。如果有磨牙,考慮訂製咬合板。
均衡飲食:多吃富含維生素C的水果蔬菜,如柑橘、青椒,幫助牙齦健康。
還有一個小秘訣:使用漱口水輔助。含氯己定的漱口水可以減少菌斑,但不宜長期使用,以免牙齒染色。諮詢牙醫後選擇適合的產品。
常見問題解答:你的疑惑這裡解
最後提醒:牙齦健康是整體健康的一部分。別因為症狀輕微就忽略,早期行動能省下後續大量時間和金錢。如果有任何疑問,諮詢專業牙醫總是最好選擇。