牙齦腫痛起來,真的會讓人什麼事都做不了。我上個月才經歷過,半夜痛到醒來,連喝水都像針刺一樣。那時候我慌張地上網查,發現資訊雜亂,有些方法用了反而更糟。所以,我花了點時間整理這篇指南,結合牙醫朋友的建議和我自己的經驗,希望能幫你快速找到舒緩之道。
牙齦腫痛舒緩不是單一方法就能解決,得先搞清楚原因。多數情況是牙齦發炎,但背後可能藏著更深的問題。這篇文章會帶你從居家急救開始,一路談到專業治療,最後教你怎麼預防。
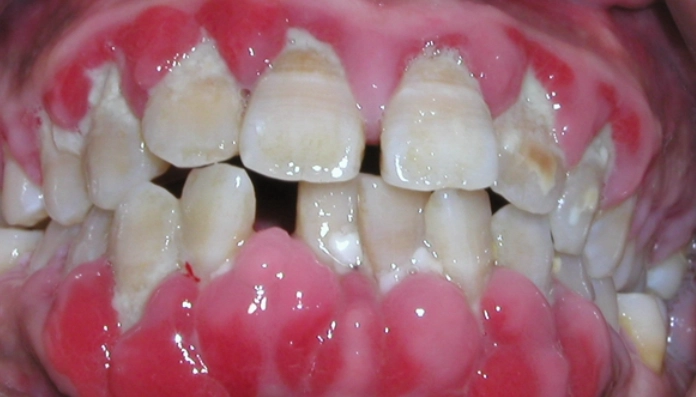
牙齦腫痛的原因分析
牙齦腫痛,說白了就是牙齦組織在發炎。但為什麼會發炎?很多人以為只是火氣大,其實沒那麼簡單。根據衛生福利部的資料,台灣成人牙周病盛行率超過八成,牙齦腫痛常常是初期警訊。
最常見的原因是牙菌斑堆積。如果你刷牙不夠徹底,食物殘渣和細菌會在牙齦邊緣形成一層薄膜,時間一長就引發紅腫。我曾經以為自己刷牙很認真,直到牙醫用鏡子給我看,才發現後排牙齒根本沒刷到。
其他原因包括:
- 牙周病:這是進階版的牙齦炎,如果放任不管,可能導致牙齒鬆動。美國牙醫協會指出,牙周病是成年人掉牙的主因之一。
- 蛀牙蔓延:蛀洞太深,細菌感染到牙根,也會讓牙齦腫起來。
- 智齒問題:智齒長歪或清潔不易,容易形成盲袋,食物塞進去就發炎。我弟就是這樣,每次腫痛都以為是感冒,後來照X光才發現是智齒作祟。
- 外傷或刺激:吃太硬的食物刮傷牙齦,或者假牙不合,都可能引起腫痛。
還有一個新手常忽略的點:壓力大或免疫力下降時,牙齦也容易腫。我有個朋友,一熬夜趕報告牙齦就痛,不是巧合,是身體在抗議。
如何立即舒緩牙齦腫痛
當牙齦腫痛突然發作,你不可能馬上衝去牙醫診所。這時候,居家急救法就派上用場了。但要注意,這些方法只能暫時舒緩,如果疼痛持續,還是得看醫生。
專家提醒: 居家舒緩法不是治療,只是幫你撐到看醫生前。如果腫痛伴隨發燒或膿包,別猶豫,快就醫。
冷敷法
這是最快見效的方法之一。用毛巾包冰袋,敷在臉頰腫痛處,每次15分鐘,一天數次。冷敷能收縮血管,減輕腫脹和疼痛。我試過,敷完確實能緩解那種搏動式的痛感。
但別直接拿冰塊貼牙齦,太刺激可能傷到組織。有些人推薦用冷凍蔬菜包代替,方便又安全。
鹽水漱口
鹽水漱口是老方法,但很多人做錯。關鍵是濃度:一杯溫水(約240毫升)加半茶匙鹽就夠了。太濃會刺激,太淡沒效果。
漱口時,讓鹽水在口中停留30秒,重點沖洗腫痛區域。每天兩到三次。這能幫助清潔、減輕發炎。我上次牙齦腫,漱了兩天,腫脹感明顯下降。
非處方止痛藥
像布洛芬(Ibuprofen)這類消炎止痛藥,可以暫時緩解疼痛和發炎。但務必按照說明書劑量服用,別過量。我通常只用在痛到睡不著的時候,畢竟藥物不是長久之計。
避免使用阿斯匹靈直接放在牙齦上,這可能造成化學灼傷。我聽過有人這樣做,結果更慘。
另外,市面上有些牙齦舒緩凝膠,含有局部麻醉成分,可以塗抹在腫痛處。但效果短暫,且不適合長期使用。
專業治療方案何時該看牙醫?
居家方法試了兩三天沒改善,或者出現以下狀況,就該預約牙醫了:
- 疼痛加劇,甚至放射到耳朵或頭部。
- 牙齦流膿或出現白色斑點。
- 發燒或臉部腫脹。
- 牙齒鬆動。
牙醫會根據診斷,提供不同的治療方案。別怕看牙醫,拖延只會讓問題更嚴重。
牙科清潔
如果只是牙菌斑引起的牙齦炎,牙醫會進行專業洗牙,清除牙結石和牙菌斑。這是最基本的治療。我每年洗牙一次,但牙醫說如果牙齦容易發炎,可能每半年就要一次。
洗牙後,牙齦腫痛通常會在一周內緩解。但有些人洗完牙會暫時更敏感,這是正常現象。
抗生素使用時機
當感染嚴重時,牙醫可能會開抗生素。但別自己亂吃,必須由醫生評估。抗生素是對付細菌感染,如果是病毒或單純發炎,吃了也沒用。
我朋友曾經自行買抗生素吃,結果腸胃不適,問題也沒解決。專業治療的關鍵在於對症下藥。
手術選項
對於牙周病或智齒問題,可能需要小手術。例如牙周翻瓣手術清除深層結石,或拔除智齒。這些聽起來可怕,但現在技術進步,恢復期短很多。
我表姐做過牙周手術,她說術後配合良好口腔衛生,再也沒腫痛過。
預防牙齦腫痛復發的關鍵步驟
舒緩牙齦腫痛後,更重要的是預防復發。否則,問題會一再回來。
首先,刷牙技巧很重要。很多人刷牙太用力,反而傷害牙齦。牙醫教我使用軟毛牙刷,以45度角輕輕刷洗牙齦溝。每天至少兩次,每次兩分鐘。
牙線是另一個關鍵。我過去不用牙線,以為刷牙就夠了,結果牙縫常卡食物,引發腫痛。現在每晚用一次,牙齦健康明顯改善。
常見錯誤: 忽略舌頭清潔。舌頭上也會累積細菌,影響口腔環境。建議用刮舌器或牙刷輕輕刷舌。
飲食調整也有幫助。減少糖分攝取,因為糖是細菌的最愛。多吃富含維生素C的食物,如奇異果、芭樂,能強化牙齦組織。我現在每天吃一顆芭樂,感覺牙齦比較不容易出血。
定期牙科檢查不能少。即使不痛,也該每半年看一次牙醫。早期發現問題,治療起來簡單得多。
常見問題解答
牙齦腫痛舒緩不是一蹴可幾,需要耐心和正確方法。從居家急救到專業治療,每一步都重要。別輕忽小痛,它可能是大問題的前兆。
如果你正受牙齦腫痛所苦,希望這篇指南能提供實用幫助。記住,口腔健康影響全身,照顧好牙齦,笑容才會更自信。