我記得第一次在牙醫診所的螢幕上,看到自己牙齒縫隙裡那些粉紅色染色劑(牙菌斑顯示劑)時,心裡受到的衝擊。我明明每天都很認真刷牙,為什麼還有這麼多?牙醫師那句話我到現在都記得:「牙菌斑的形成速度,遠比你刷牙的速度快。」這句話徹底改變了我對口腔清潔的看法。今天,我就用自身從忽略到重視的經驗,加上請教專業牙醫師的知識,來徹底拆解「牙菌斑多久形成」這個問題。答案可能會讓你坐立難安:從你吃完東西後幾分鐘就開始了,而一個初步可被偵測的群落,可能在12到24小時內就站穩腳跟。
這篇文章會告訴你
牙菌斑不是食物殘渣,它是活的細菌城市
很多人,包括以前的我,都以為牙菌斑就是卡在牙縫裡的菜渣。這是最大的誤解。菜渣是「物」,而牙菌斑是「生命體」。你可以把它想像成細菌在牙齒表面「蓋房子」的過程。
一開始,你的牙齒表面會在一吃完東西後,就迅速覆蓋一層來自唾液蛋白的薄膜,叫做「獲得性薄膜」。這層膜本身無害,但它就像一塊剛整平的土地,對細菌發出歡迎光臨的邀請。口腔裡數百種細菌(主要是鏈球菌)會馬上附著上去,這是「殖民開端」。這些先鋒部隊開始分解你飲食中的糖分,產酸,同時也分泌一種黏稠的細胞外多醣體,作為它們的「建築水泥」。
關鍵就在這裡:這個「水泥」非常黏,它讓細菌們緊緊黏在牙齒上,一般漱口根本沖不掉。它們在這裡定居、繁殖,社區越來越龐大,從薄薄一層變成肉眼可見的軟軟、黏黏的沈積物,這就是牙菌斑(牙垢)。它是一個動態的、活的微生物生態系,而不是靜態的髒東西。
所以,當你問「牙菌斑多久形成」,你其實是在問這個細菌城市從規劃到蓋成社區大樓要多久。時間短得超乎想像。
牙菌斑形成時間線:從0到100%的完整過程
讓我們用一個時間軸來具體看看,在你吃完一頓飯後,你的牙齒表面發生了什麼事。我以自己某天下午喝了一杯拿鐵、吃了一塊餅乾為例。
| 時間點 | 發生的事件(細菌城市的發展) | 肉眼/感覺狀態 |
|---|---|---|
| 餐後1-5分鐘 | 唾液蛋白膜(獲得性薄膜)形成,覆蓋牙釉質。第一批先鋒細菌(主要是需氧菌)開始附著。 | 完全無感,牙齒摸起來光滑。 |
| 餐後2-4小時 | 先鋒細菌開始利用糖分產酸,並分泌「生物膜」的初始基質。細菌群落開始初步聚集。 | 無感,但牙釉質已開始接觸到酸,可能進入輕微脫礦狀態。 |
| 餐後6-12小時 | 生物膜結構趨於穩定,群落多樣性增加。如果期間沒有清潔,此時用牙菌斑顯示劑已能染出明顯顏色。 | 用舌頭舔牙齒表面,可能會感覺有一層滑滑、膩膩的東西,這就是早期牙菌斑。 |
| 24-48小時 | 生物膜成熟期。厭氧菌開始在群落深處繁殖,它們的代謝產物對牙齦更具刺激性。牙菌斑體積明顯增加。 | 牙齦邊緣可能開始有輕微紅腫或刷牙時容易出血。口氣可能開始變化。 |
| 48-72小時(未清潔) | 成熟的牙菌斑開始礦化,與唾液中的鈣、磷結合,逐漸變硬,形成「牙結石」的基底。一旦變成牙結石,就無法靠刷牙移除。 | 牙齒靠近牙齦處可能出現黃白色或褐色的硬質沉積,刷牙也刷不掉。 |
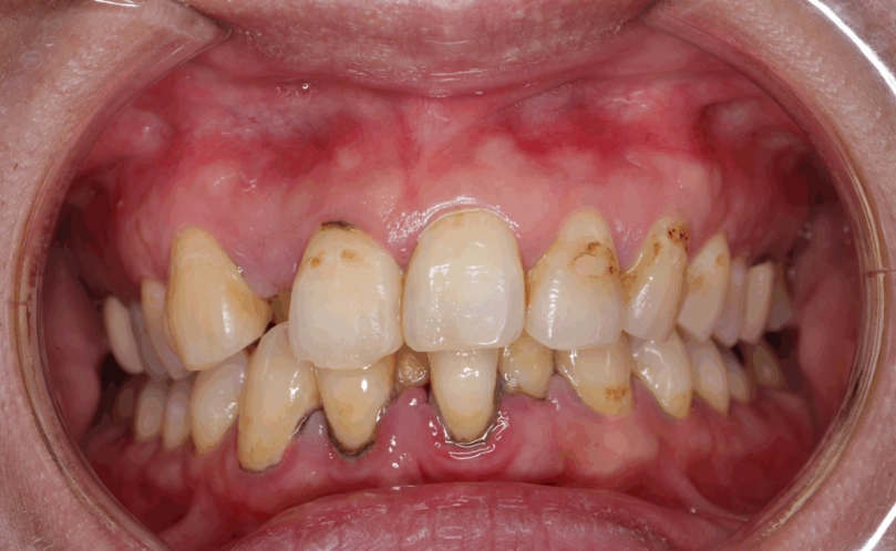
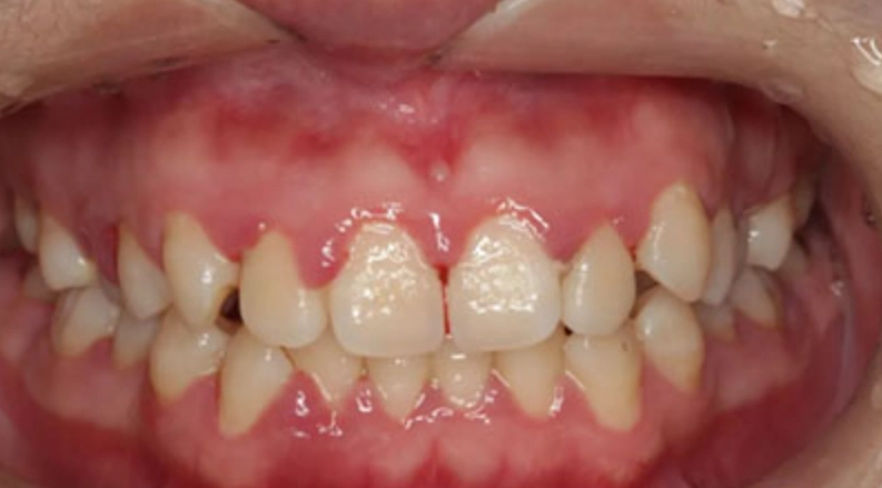
看到這個時間表了嗎?關鍵的黃金清潔期是在「12小時內」,最好是在餐後或飲食後盡快處理。一旦超過24小時,這個細菌社區就變得根深蒂固,清潔難度大增,對牙齦的攻擊也正式開始。

加速牙菌斑形成的三大陷阱,你中了幾個?
為什麼有些人似乎比較容易堆積牙菌斑?除了天生的唾液成分、牙齒排列,更多的是後天習慣。以下是三個我觀察到,連很多注重健康的人都會忽略的陷阱。
陷阱一:以為「吃少糖」就安全
這是最常見的迷思。精緻糖(蔗糖、果糖)確實是細菌的最愛,但別忘了,碳水化合物(澱粉)最終也會被唾液澱粉酶分解成糖。你吃的白飯、麵包、馬鈴薯,甚至一些健康的水果,都是牙菌斑的糧食。我有一個朋友戒了手搖飲,卻改吃大量蘇打餅乾當點心,結果牙菌斑問題依舊。
陷阱二:清潔頻率與時機錯誤
很多人習慣早上起床刷牙,晚上睡前刷牙。但如果你早餐後到午餐後之間吃了點心、喝了含糖咖啡,這段長達6-8小時的空窗期,正好是牙菌斑茁壯的溫床。真正的關鍵不是「一天刷幾次」,而是「兩次飲食之間的口腔空窗期有多長」。頻繁少量進食,又不即時清潔,是最糟的狀況。
陷阱三:只清潔牙齒表面
牙菌斑最愛躲在哪?不是牙齒正面,而是牙齒與牙齦交界的那條「牙齦溝」,以及牙齒與牙齒之間的鄰接面。這些地方光靠牙刷摩擦是不夠的。我過去十年最大的錯誤,就是以為電動牙刷萬能,直到牙醫教我使用牙間刷,才清出難以置信的髒污。不用輔助清潔工具(牙線、牙間刷),等於只打掃了客廳,卻放任廚房和浴室發霉。
特別提醒:如果你刷牙經常流血,那不是「刷太用力」,而極有可能是牙菌斑長期堆積在牙齦邊緣,導致牙齦發炎的明確警訊。這時你該做的不是避開那個區域不刷,而是更輕柔但堅持地清潔該處,去除病因(牙菌斑),流血狀況才會改善。避開不刷只會讓問題惡化。
如何有效打斷牙菌斑形成週期?牙醫的私房清潔法
知道了形成時間,對策就很明確:在細菌城市蓋到一半時就摧毀它。以下是根據專業建議和我個人實踐後,最有效的策略組合。
核心原則:物理性移除為主,化學性輔助為輔。 沒有任何漱口水可以替代牙刷和牙線的物理摩擦。
1. 餐後即時行動: 理想狀況是吃完東西10分鐘內清潔。如果在外不方便刷牙,我的做法是:立刻用清水或無糖茶大力漱口30秒,盡可能沖走大塊食物殘渣和游離的糖分。嚼無糖口香糖(含木醣醇)可以刺激唾液分泌,幫助中和酸性,但這只是「救急」,不能取代清潔。
2. 每日至少一次「深度清潔」: 我把它放在晚上睡前,因為睡眠時唾液分泌減少,口腔自潔能力最差。這個清潔必須包含三步驟:
- 牙線或牙間刷:先做!把牙縫的髒東西「刮」出來,不然等下刷牙又會把它們推到更深處。這是突破性的觀念改變。
- 牙刷(貝氏刷牙法):重點是刷毛要涵蓋一點牙齦,對著牙齦溝以小幅震動的方式清潔,而非大範圍橫刷。
- 針對性漱口水(可選):如果有牙齦發炎問題,可在牙醫指導下使用含氯己定(Chlorhexidine)的漱口水,但不建議長期天天使用,會染色牙齒且可能破壞口腔菌群平衡。
3. 定期使用牙菌斑顯示劑: 這是我從牙醫那學到最寶貴的一課。每週一次,刷牙後使用顯示劑(藥局有賣錠劑或液劑),它會把殘留的牙菌斑染成鮮紅色或藍色。你會震驚地發現那些你永遠刷不到的死角——通常是最後一顆臼齒的後側、下門牙的內側。對著鏡子把這些染色的地方刷乾淨,是訓練自己刷牙技巧最直觀的方法。
關於牙菌斑,你可能問錯了的問題(FAQ)
時間長不等於刷得乾淨。問題通常出在兩個地方:一是方法不對,沒有涵蓋牙齦溝;二是工具不全,完全沒清潔牙縫。三分鐘只刷牙齒表面,就像用三十分鐘只擦客廳地板,卻從不清理沙發底下和廚房油污。請試試看使用牙菌斑顯示劑,它會誠實地告訴你,你那三分鐘到底遺漏了哪裡。我當初就是這樣發現自己從來沒刷乾淨過臼齒的咬合面溝隙。
強烈不建議。成熟的牙菌斑確實是軟的,理論上可以刮除,但你很難在不傷及牙釉質和牙齦的情況下操作。指甲或金屬工具可能造成牙齒表面肉眼看不見的刮痕,反而成為未來更容易堆積牙菌斑的粗糙面。更別說操作不當會嚴重刺傷牙齦。清除牙菌斑是「清潔」的概念,不是「刮除」。交給正確的牙刷、牙線和專業洗牙工具吧。
無糖飲料本身不會提供糖分給細菌,但它們通常含有色素(如茶漬、咖啡漬),這些色素會沈積在已經形成的牙菌斑上,讓牙菌斑「染色」變得更明顯、更頑固。更重要的是,許多人在喝咖啡時習慣加牛奶,牛奶中的乳糖也是細菌的食物。所以,即使喝無糖飲料,飲用後用清水漱口,仍然是個好習慣,至少能減少色素沈積。
不會,甚至可能因為飲食習慣(更頻繁地喝奶、吃甜食)和清潔不易(孩子刷牙不確實)而更快。乳牙的牙釉質較薄,一旦被牙菌斑產生的酸侵蝕,蛀牙進展會非常迅速。建立餐後清潔的習慣,必須從乳牙期就開始。我幫孩子刷牙的經驗是,使用牙菌斑顯示劑(兒童可用款)變成遊戲,讓他們看到哪裡沒刷乾淨,效果比口頭催促好十倍。
沖牙機(水牙線)是優秀的「輔助」工具,尤其適合戴牙套、有牙橋的人,它能沖走食物殘渣並按摩牙齦。但它主要作用是「沖洗」,對於已經緊密黏附在牙齒側面的牙菌斑生物膜,其清除效果仍不如傳統牙線或牙間刷的「物理摩擦」。我的習慣是:牙線/牙間刷(刮除菌膜)→ 刷牙(清潔所有表面)→ 沖牙機(最後沖洗和按摩)。把沖牙機當作主要清牙縫工具,可能會遺留黏著的牙菌斑。
理解牙菌斑形成的速度,是掌握口腔健康主動權的第一步。它不再是個模糊的醫學名詞,而是一個有明確時間表、可被觀察、可被干預的過程。從今天起,別再只問「多久形成」,更要問自己「我上次有效清潔是什麼時候?」。你的牙齦健康,就從打斷那12小時的黃金形成期開始。