如果你正在搜尋牙周病抗生素治療,我猜你心裡可能有點困惑,甚至有點擔心。是不是牙醫說你的牙周病有點嚴重,建議要吃抗生素?或者你聽說吃藥就能好,不想面對深層清創的恐懼?我得先說,這個想法有點危險。我在這個領域看過太多案例,很多人把抗生素當成主力,結果錢花了,時間拖了,問題卻更嚴重。
抗生素在牙周病治療中,是個重要的「輔助角色」,但絕對不是「主角」。它的使用時機、種類選擇、服用方法,裡面藏了很多連一些牙醫師都可能忽略的細節。這篇文章,我想用最白話的方式,跟你分享抗生素在牙周治療中到底扮演什麼角色,什麼情況下才真的需要它,以及如何正確使用,才能避免復發這個最讓人頭痛的問題。
快速導覽:這篇文章能幫你解決什麼問題?
重新認識:什麼是牙周病抗生素治療?
首先,我們得打破一個迷思:抗生素不是用來「治療」牙周病本身,而是用來「控制」或「消除」那些引發嚴重破壞的特定細菌。 牙周病的根源是牙菌斑,而牙菌斑是個複雜的細菌社區。基礎治療(也就是俗稱的牙根整平術、深層清潔)是物理性破壞這個社區的結構,就像把房子拆了。抗生素則是針對裡面特別兇悍的「住戶」(比如Aggregatibacter actinomycetemcomitans, Porphyromonas gingivalis等),進行精準打擊。
根據台灣牙周病醫學會的治療指引,抗生素從來不是第一線治療。它通常是搭配基礎治療或手術治療,在特定情況下使用,目的是提升治療成功率,尤其是對於那些對傳統清創反應不佳,或者屬於侵襲性、進展快速的牙周炎患者。
一個常見的誤區是,病人以為吃了藥牙齦就不腫不痛了,等於病好了。這大錯特錯。抗生素壓下了急性發炎,但牙結石和牙菌斑的物理性刺激源還在,就像火藥庫還在,只是暫時沒點火。一旦停藥,細菌很快又會長回來,而且可能因為不當使用產生抗藥性,讓後續治療更棘手。
關鍵決策:什麼情況下才需要動用抗生素?
不是每個牙周病患者都需要吃抗生素。如果你的牙醫一上來就開藥,你或許該多問一句為什麼。通常,需要考慮系統性(口服)抗生素的狀況有以下幾種:
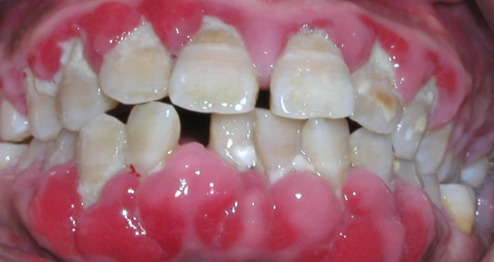
1. 侵襲性牙周炎: 這類患者通常年紀較輕,但牙周破壞速度卻很快,家族中可能有類似病史。細菌種類往往較具侵略性,單靠機械清潔效果有限。
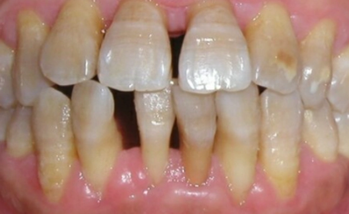
2. 對基礎治療反應不佳: 做完完整的深層清潔後,回診時發現仍有超過5mm的牙周囊袋持續發炎、流膿,這表示可能有一些頑強的細菌躲在深處。
3. 伴有全身性風險因子: 例如有控制不佳的糖尿病、免疫功能低下的患者,他們的免疫系統無法有效對抗細菌,需要藥物輔助。
4. 出現全身性感染的跡象: 比如發燒、淋巴結腫大,表示感染可能已超出牙周局部範圍。
5. 進行特定牙周手術前後: 如再生手術,為了創造一個更利於組織癒合的環境,有時會預防性使用。
我遇過一個案例,患者阿傑,30歲,刷牙常流血,檢查發現多處深度囊袋。他非常抗拒刮治,一直問能不能只吃藥。我跟他解釋了半天,最後他還是去別家診所拿了抗生素。三個月後回來找我,說吃藥期間感覺很好,但停藥後情況更糟,牙齒甚至開始鬆動。這時才願意接受正規治療,但已經錯過了更好的時機。
藥物面面觀:牙周病常用抗生素有哪些?
牙周病治療用的抗生素,很少單用一種,因為牙周囊袋裡的細菌是混合感染。最經典的組合是「甲硝唑 + 阿莫西林」,這在國際文獻和臨床上都很常見。以下是幾種主要的用藥選擇:
| 藥物種類 | 常見學名 (商品名舉例) | 主要針對細菌 | 備註與常見副作用 |
|---|---|---|---|
| 甲硝唑 | Metronidazole (Flagyl®) | 專性厭氧菌 | 服用期間絕對禁止飲酒(雙硫樣反應)。可能噁心、金屬味。 |
| 阿莫西林 | Amoxicillin (Amoxil®) | 兼性厭氧菌、需氧菌 | 青黴素過敏者禁用。可能腹瀉、皮疹。 |
| 四環黴素類 | Doxycycline (Periostat®) | 多種牙周致病菌 | 低劑量時有抑制膠原酶的作用。可能光敏感、胃部不適。 |
| 克林達黴素 | Clindamycin (Cleocin®) | 對青黴素過敏者的替代選擇 | 有較高風險導致偽膜性腸炎,需謹慎使用。 |
選擇哪一種或哪一種組合,取決於細菌的種類、患者的過敏史、全身狀況,以及當地的細菌抗藥性情況。理想上,應該先進行牙周致病菌檢測,就像打仗前先偵察敵情一樣。不過在台灣,這項自費檢測(費用約在2000-4000元新台幣不等)並非每家診所都提供,也並非每個案例都必要,通常留給複雜或治療反應差的病例。
一個重要的非共識觀點: 很多牙醫開藥習慣開3天或5天,這對於一般的牙科感染可能足夠,但對於慢性、深部的牙周感染,療程往往不足。根據文獻與臨床經驗,一個完整的輔助療程常常需要7-10天,甚至更長,以確保深層組織內的藥物濃度足夠。但這必須在醫師嚴密評估下進行,切勿自行延長服藥時間。
正確服用指南:劑量、療程與副作用管理
就算拿到了對的藥,吃的方法不對,效果也會大打折扣。
劑量與服用時間
以常見的甲硝唑+阿莫西林組合為例,成人劑量通常是甲硝唑500mg搭配阿莫西林500mg,每天三次,飯後服用,連續7-10天。務必嚴格遵守間隔時間(例如每8小時一次),以維持血液中穩定的藥物濃度。想到才吃,忘了就算了,是最容易培養出抗藥性細菌的做法。
副作用該如何應對?
胃腸不適最常見。一定要飯後服用,可以減少刺激。如果出現嚴重腹瀉(特別是水瀉帶血或黏液),要立即停藥並聯繫醫師,這可能是抗生素引起的腸炎。服用甲硝唑期間,不僅是酒,連含有酒精的漱口水、感冒糖漿、食物(如麻油雞、薑母鴨)都應避免。
費用大概是多少?
這可能是你最實際的問題。在台灣,如果使用健保用藥,這部分藥費大多由健保給付,患者通常只需負擔掛號費和部分負擔。但如果是使用特定廠牌或進行細菌檢測,則需要自費。細菌檢測費用如前所述,而藥品自費價差很大,從數百元到上千元都有可能,取決於藥物品牌和藥局。
重點是,不要因為藥費便宜就輕忽,也不要因為藥費貴就神化其效果。 它的價值體現在正確的時機與完整的療程中。
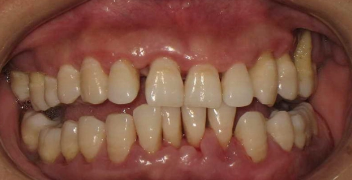
吃完藥之後:如何避免牙周病復發?
這是最關鍵,卻最被輕視的一環。抗生素幫你打了一場漂亮的殲滅戰,但如果你不佔領並守衛陣地(也就是你的口腔),敵人(細菌)很快就會捲土重來。
1. 立即銜接維護期治療: 吃完藥不是結束。你必須立刻回到牙周維護的正軌:定期回診(可能從每3個月開始),由醫師或牙科衛生師進行專業維護。這是防止復發的鐵律。
2. 居家護理升級: 光刷牙不夠。你必須學會並堅持使用牙間刷和單束毛牙刷來清潔牙縫和牙齦溝。這是成敗的關鍵,我見過太多患者敗在這一步。
3. 監控風險因子: 控制血糖、戒菸(吸菸會大幅降低治療成功率)、管理壓力。這些事聽起來老生常談,但對牙周健康影響巨大。
抗生素治療就像一陣強風,吹散了濃霧,讓你看清道路。但接下來怎麼走,能不能不再走進霧裡,完全取決於你自己的維護和與牙醫團隊的配合。