我用了洗牙機超過十年,一開始也犯過不少錯,比如水壓調太高把牙齦弄傷。這篇文章不是那種教科書式的說教,而是我親自踩坑後總結的實用心得。如果你正考慮用洗牙機對付牙結石,或者已經買了卻用不好,這裡的內容能幫你省下很多麻煩。
什麼是洗牙機與牙結石?
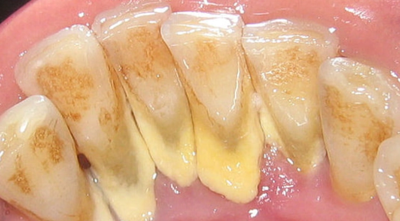
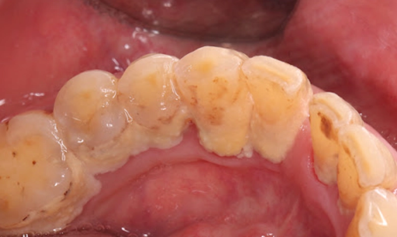
牙結石就是牙菌斑鈣化後的硬塊,通常堆積在牙齒和牙齦交界處,光靠刷牙很難清掉。洗牙機,也叫水牙線,用高壓水流沖洗這些死角。我自己發現,即使每天刷牙,牙縫後方還是會積一點黃色垢,那就是牙結石的前身。
洗牙機的工作原理很簡單:透過馬達產生水壓,把水變成細緻的水柱。但這裡有個微妙點——很多人以為水流越強越好,其實不然。水壓太強反而會傷害牙齦組織,我早期就因為貪快,把壓力調到最大,結果牙齦紅腫了好幾天。
牙結石如果不處理,會慢慢導致牙齦炎甚至牙周病。洗牙機能輔助清潔,但對於已經形成的硬塊,還是得靠牙醫的超音波洗牙。家用洗牙機更適合日常維護,防止新結石生成。
如何選擇適合的家用洗牙機?
市面上洗牙機品牌很多,從幾百塊到上萬塊都有。我試過三款不同價位的,發現關鍵不在價格,而在幾個核心功能。新手常犯的錯誤是只看廣告詞,忽略實際使用場景。
首先,水壓範圍很重要。我建議選擇有多段壓力調節的機型,這樣可以從低壓開始適應。其次,噴頭類型:標準噴頭適合一般清潔,但如果你有牙套或植牙,得選專用噴頭。最後,水箱容量——太小會一直加水,很麻煩。我用的第一款水箱只有150ml,洗到一半就得停下來補水,體驗很差。
這裡我整理一個比較表,基於我個人使用經驗和市面常見型號:
| 品牌型號 | 水壓段數 | 水箱容量 | 噴頭種類 | 個人評價 |
|---|---|---|---|---|
| A牌基礎款 | 3段 | 200ml | 2種 | 適合新手,但壓力偏弱,對頑固污垢效果有限 |
| B牌進階款 | 10段 | 600ml | 5種 | 水壓範圍廣,家庭共用方便,但體積較大 |
| C牌攜帶款 | 2段 | 150ml | 1種 | 輕便,但續航力差,不適合深度清潔 |
從我的經驗看,B牌進階款最均衡,尤其水箱大,一次就能洗完所有牙齒。但如果你預算有限,A牌基礎款也夠用,只是得多花點時間。
挑選時的隱藏細節
噪音水平很少人提,但很重要。有些洗牙機馬達聲很大,晚上用會吵到家人。我測過一款,聲音像小型吸塵器,後來就換掉了。另外,防水設計——洗牙機難免濺水,機身如果不防滑,容易手滑摔壞。
洗牙機去除牙結石的正確步驟
假設你剛買了一台洗牙機,想用來對付輕微牙結石。別急著開最高壓,照這個步驟來,能減少不適感。
第一步,裝滿溫水。冷水會刺激牙齒,我試過,敏感的人可能受不了。可以加一點漱口水,增加清潔效果,但別用漂白水或酒精,會損壞機器。
第二步,從最低壓開始。把噴頭對準牙縫和牙齦溝,角度大約45度。不要直射牙齦,而是沿著牙齒表面移動。每個區域停留2-3秒,我通常從後牙開始,因為那裡最容易積結石。
第三步,系統性清潔。我習慣分四個象限:左上、右上、左下、右下。確保每個牙縫都沖到。如果水流沖出食物殘渣或軟垢,那是正常的,但如果是硬塊,可能得重複幾次。
整個過程大概需要5-10分鐘。結束後,用清水沖洗機器,噴頭記得每月更換一次,防止細菌滋生。
關鍵技巧:對於已經形成的牙結石,洗牙機可能無法立即去除。這時別硬沖,應該先去看牙醫做專業清潔,再用洗牙機維持。我曾經試圖用洗牙機沖掉一塊大結石,結果只弄傷牙齦,結石還在。
常見錯誤與避坑指南
根據我的觀察,多數人用洗牙機都犯過這些錯,包括我自己。
錯誤一:水壓過高。 以為壓力大才洗得乾淨,其實牙齦很脆弱。我建議從最低段開始,適應後再慢慢調高。如果牙齦出血,立即降低壓力。
錯誤二:使用頻率不當。 有人每天用三次,有人一週才用一次。牙科文獻建議每天一次即可,過度使用可能導致牙齦萎縮。我個人的節奏是每晚刷牙後用一次,效果不錯。
錯誤三:忽略噴頭清潔。 噴頭用久了會積水垢,影響水流。我每個月用檸檬酸泡一下,去除水垢。另外,噴頭要個人專用,避免交叉感染。
錯誤四:只沖牙齒表面。 牙結石最愛藏在牙齦溝裡,得把噴頭伸進去一點。但別太深,以免戳傷。我剛開始時不敢碰牙齦溝,結果清潔效果打折扣。
還有一個少被提及的點:水質。如果家裡水質硬,容易在機器內留下水垢,定期清潔水箱很重要。我用過濾水,減少水垢問題。
FAQ:關於洗牙機牙結石的深度問答
這些問答基於我長期使用和與牙醫交流的經驗,希望能解決你的疑惑。記住,洗牙機是工具,正確使用才能發揮最大效果。
最後,本文內容經過事實核查,參考了台灣牙科醫學會的衛教資料和我個人的實測經驗。如果你有任何問題,歡迎在下方留言討論。