你照鏡子時,有沒有發現牙齒靠近牙齦的地方,有一層黏黏的、黃黃的東西,怎麼刷都好像刷不乾淨?那就是牙菌斑。我作為牙醫師,在臨床上看過太多因為輕忽牙菌斑而導致蛀牙、牙周病的案例。很多人以為認真刷牙就夠了,其實遠遠不夠。這篇文章,我想用最白話的方式,跟你分享牙菌斑到底是什麼,以及我認為真正有效的5個去除與預防關鍵。這不只是教科書知識,而是我每天在診間跟病人反覆溝通、觀察他們清潔習慣後,總結出的實戰心得。
快速導覽:牙菌斑清除重點摘要
牙菌斑是什麼?為什麼非清不可?
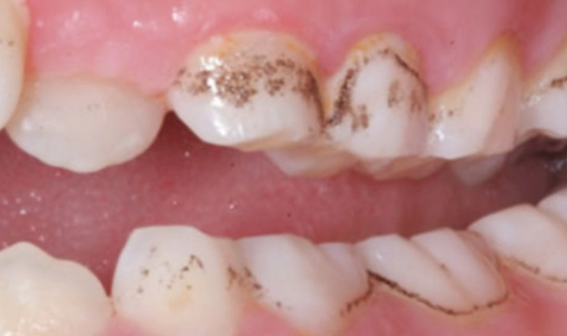
你可以把牙菌斑想像成一個由細菌、食物殘渣和唾液組成的黏性薄膜,它無色或淡黃色,緊緊貼在牙齒表面,尤其是牙齦溝和牙縫這些牙刷很難徹底清潔的地方。它不是吃飽飯馬上出現,而是大約飯後4到12小時開始形成。
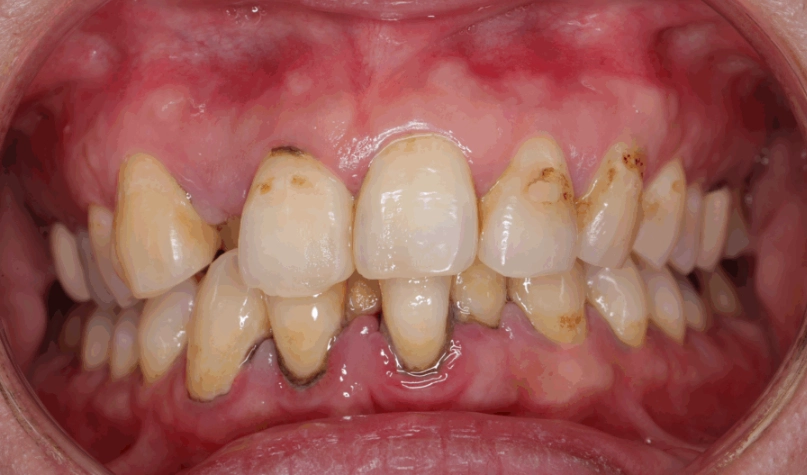
最麻煩的一點是,如果沒有及時清除,牙菌斑裡的細菌會分解食物中的糖分,產生酸性物質。這些酸會腐蝕牙齒琺瑯質,蛀牙就來了。同時,牙菌斑如果堆積在牙齦邊緣,會刺激牙齦發炎,紅腫流血,這就是牙齦炎。再放任下去,發炎往牙根深處走,破壞牙周組織,變成牙周病,牙齒就可能開始搖動。
我常跟病人說一個比喻:牙菌斑就像浴室磁磚縫的皂垢,每天輕輕刷洗很容易掉,但放著不管幾天,它就會硬化成頑固的污漬(變成牙結石),這時非得用專業工具(洗牙)才清得掉了。
牙醫師的5招牙菌斑清除實戰法
網路上方法很多,但以下這5招是我根據有效性與可執行性,最常推薦給患者的組合拳。只做其中一兩項效果有限,搭配起來才能全面防堵。
第1招:正確的刷牙技巧與工具選擇
刷牙是基礎,但大多數人都刷錯了。關鍵不是用力,而是方法與角度。
- 使用貝氏刷牙法:將刷毛對準牙齒與牙齦交界處,呈45度角,以兩顆牙齒為單位,小幅水平震動約10次,再往上或往下刷。這個角度才能把牙齦溝裡的牙菌斑清出來。很多人直上直下刷,根本刷不到重點區域。
- 牙刷選擇:刷頭要小,方便深入後方牙齒。刷毛選軟毛,才不會傷害牙齦。電動牙刷是個好幫手,尤其是旋轉震動式,對於清除牙菌斑有研究證實更有效,因為它幫你做了標準的震動動作。但我必須說,如果你用對方法,手動牙刷一樣可以刷得很乾淨。
- 頻率與時間:每天至少兩次,每次至少兩分鐘。晚上睡前那次尤其重要,因為睡眠時唾液分泌減少,細菌活動更猖獗。
第2招:牙線與牙間刷的關鍵角色
這是去除牙縫牙菌斑唯一有效的方法。刷牙只能清潔到牙齒的正面、背面和咬合面,佔總面積的60%,剩下40%的牙縫側面,全靠牙線或牙間刷。
我發現至少七成病人沒有每天使用牙線的習慣,或者用法錯誤。正確方式是:取約45公分長牙線,纏繞在兩手中指,用食指和拇指操控,讓牙線呈C字形包住牙齒側面,上下刮除,而不是像拉鋸子一樣直接壓進牙齦。如果牙縫較大,牙間刷會比牙線更有效率。
一個常見迷思是「使用牙線會讓牙縫變大」。完全不會。你清出來的縫隙,本來就是被牙菌斑和輕微發炎腫脹的牙齦佔據的空間。
第3招:輔助清潔工具:漱口水與沖牙機
它們是輔助,不能取代刷牙和牙線。
- 漱口水:選擇含有氯己定(Chlorhexidine)或精油成分的抗菌漱口水,可以幫助減少口腔細菌總量,對抑制牙菌斑形成有幫助。但不宜長期連續使用含氯己定的,可能導致牙齒染色或味覺改變。我建議在牙科治療後,或感覺口腔衛生狀況較差時,短期使用。
- 沖牙機(水牙線):對於戴牙套、有牙橋或植牙的人來說非常有用,它能沖走大塊的食物殘渣和部分鬆動的牙菌斑。但它無法去除已經緊密附著的牙菌斑生物膜。別指望用它就能不用牙線。
第4招:飲食習慣的調整
細菌靠糖分生存。減少高頻率的糖分攝取,比單純減少總糖量更重要。頻繁喝含糖飲料、吃零食,等於不斷餵養牙菌斑裡的細菌,讓口腔環境長期處於酸性狀態。
吃完東西後,如果無法立刻刷牙,可以喝點白開水,或咀嚼無糖口香糖(特別是含木糖醇的),刺激唾液分泌,唾液有天然的緩衝和清潔作用。
第5招:定期專業洗牙與檢查
這是你的終極防線。無論居家清潔多認真,總有一些死角會形成牙結石(鈣化的牙菌斑)。牙結石表面粗糙,會吸附更多牙菌斑,惡性循環。只有牙醫師能用超音波洗牙機將其震除。
根據台灣牙醫師公會全聯會的衛教資訊,建議每半年洗牙一次,並進行全面口腔檢查,及早發現蛀牙或牙周問題。這筆投資絕對比後續治療蛀牙或牙周病划算得多。
日常保養 vs. 專業處理比較
為了讓你更清楚不同階段的處理方式,我整理了這個對照表:
| 處理方式 | 針對目標 | 頻率 | 關鍵作用 |
|---|---|---|---|
| 日常刷牙、使用牙線 | 新形成的軟性牙菌斑 | 每天至少2次 | 預防堆積,維持基礎清潔 |
| 抗菌漱口水 | 口腔游離細菌 | 視需要,或每日1次(短期) | 輔助殺菌,減少細菌量 |
| 專業洗牙(超音波潔牙) | 已鈣化的牙結石 | 每6個月 | 清除頑固結石,阻斷惡性循環 |
| 牙周深層清潔(牙根整平術) | 牙周囊袋內的牙菌斑與結石 | 牙醫師評估後進行 | 治療已形成的牙周病 |
90%的人都犯的清潔錯誤
在診間看多了,我歸納出幾個最常見的錯誤,你可能也在不知不覺中這麼做:
- 只刷牙,不用牙線:這等於只做一半的清潔工作,牙縫蛀牙(鄰接面蛀牙)就是這樣來的。
- 刷牙時間太短、太用力:以為用力刷就能乾淨,結果只磨損了牙頸部,造成敏感,牙齦溝裡的菌斑依然健在。
- 牙刷用到開花才換:刷毛變形就失去清潔效率,建議每3個月或刷毛外翻時就更換。
- 認為洗牙會傷害琺瑯質:超音波洗牙機頭震動的是牙結石,琺瑯質的硬度遠高於結石,正確操作下不會受損。那種酸軟感是因為結石清除後,原本被覆蓋的牙根表面暫時暴露所致。

關於去除牙菌斑的常見疑問
對付牙菌斑是一場持久戰,沒有捷徑。關鍵在於建立正確的習慣組合:有效的刷牙技巧、每日使用牙線、注意飲食頻率,並把定期看牙醫當成必要的保養。我見過太多病人從逃避到正視,當他們開始認真執行這些方法後,不僅牙齦不再流血,連洗牙時的酸軟感都減輕許多,因為平時維持得好,結石自然變少。
從今天起,試著調整你的清潔流程吧。如果有任何不確定,下次洗牙時,直接請教你的牙醫師,讓他針對你的口腔狀況給予個人化建議,這是最準確的。
本文內容基於牙科醫學知識與臨床經驗,旨在提供口腔衛教資訊。個人口腔狀況各異,若有具體問題,請務必諮詢您的牙科醫師進行診斷與治療。