照鏡子時,你是否發現牙齒看起來越來越長,牙縫變大,甚至喝冰水時感到一陣酸軟?這很可能就是牙齦萎縮的跡象。很多人以為這是年紀大的必然結果,但真相是,許多二、三十歲的年輕人也正面臨同樣問題。牙齦萎縮不是一種疾病,而是一個「結果」,是牙齦組織因各種原因向牙根方向退縮的現象。一旦萎縮,牙根失去保護,敏感、蛀牙風險、甚至牙齒鬆動都可能接踵而來。
讓我講個案例。我曾遇過一位三十出頭的設計師,他非常注重口腔清潔,每天刷牙三次,用力刷到牙刷毛都開花了。他來看診是因為牙齒敏感得厲害。檢查後發現,他好幾顆牙齒的牙齦已經明顯萎縮,牙根暴露。原因正是他認為的「徹底清潔」——過度用力的橫刷。這不是個案。
所以,與其害怕,不如徹底了解。知道牙齦萎縮是怎麼發生的,你才能從根源上阻止它。
📋 快速導覽:牙齦萎縮全方位解析
原因一:刷牙不當 – 最常見的自我傷害
這可能是排名第一的自我導致原因。很多人有個迷思:用力刷才能刷乾淨。錯了。
當你使用硬毛牙刷,像刷地板一樣來回橫刷時,你其實在對牙齦和牙齒交接處進行持續的物理磨損。那個地方叫「牙齦溝」,是牙齦組織最脆弱、也最容易因摩擦而受傷退縮的區域。久而久之,牙齦就被你「刷」掉了。
電動牙刷就萬無一失嗎?
不一定。如果你用的是旋轉式電動牙刷,仍然需要輕柔地一顆一顆牙齒移動,讓刷頭自己工作,而不是施加壓力來回拖動。聲波震動牙刷相對溫和,但若刷頭已開花還不更換,邊緣的硬塑膠同樣會刮傷牙齦。
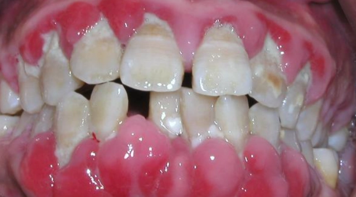
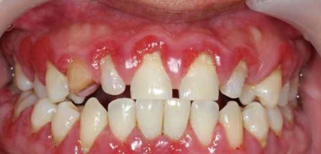
原因二:牙周病 – 沉默的組織破壞者
這是導致牙齦萎縮的病理性的、最主要的專業原因。牙周病是牙齒周圍支持組織(包括牙齦、牙周韌帶、齒槽骨)的慢性細菌感染。
過程是這樣的:牙菌斑和牙結石堆積在牙齦邊緣,引起發炎(牙齦炎)。若未清除,發炎會往牙根深處蔓延,破壞牙周韌帶和齒槽骨(牙周炎)。為了對抗發炎,身體會啟動防禦機制,但這個過程往往伴隨著牙齦組織的破壞和萎縮。當底下的骨頭被吸收變矮了,覆蓋其上的牙齦自然就跟著退縮。
最麻煩的是,牙周病初期不痛不癢,很多人是等到牙齦萎縮、牙齒動搖才驚覺事態嚴重。根據衛福部的資料,台灣成人牙周病盛行率高達八成,這解釋了為什麼牙齦萎縮如此普遍。
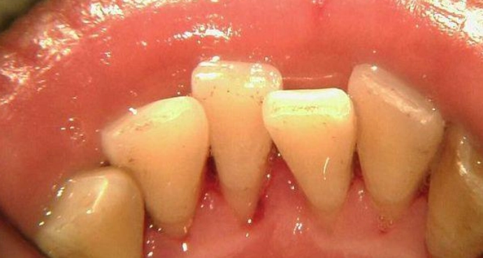
原因三:牙齒排列與咬合力問題
你的牙齒長得歪斜或擁擠嗎?這不只是美觀問題。當牙齒排列不整齊,某些牙齒會承受過大或不正常的咬合力。
想像一下,一顆牙齒因為錯位而比其他牙齒更早接觸、承受過大咬力,這會導致牙齒微動、甚至輕微位移。長期下來,周圍的牙周組織(包括牙齦和骨頭)會為了適應這種異常力量而產生吸收與改建,結果可能就是該區域的牙齦萎縮。這種萎縮常常發生在單顆或局部牙齒上。
另外,牙齒擁擠會讓清潔變得極為困難,容易堆積牙菌斑,間接又引發牙周問題,雙重打擊牙齦健康。
原因四:不良的假牙或矯正器
這是容易被忽略的醫源性因素。一個設計或製作不良的假牙邊緣,如果壓迫到牙齦,就像鞋子一直磨腳一樣,會導致受壓處的牙齦組織因血液循環不良而壞死、萎縮。
活動假牙的扣環(鉤子)如果太緊或位置不當,長期摘戴的摩擦也會造成問題。即使是固定假牙(牙橋),如果邊緣不密合,容易積存食物殘渣和細菌,引起邊緣性牙周炎,導致支撐牙的牙齦萎縮。
牙齒矯正時,如果施力過大或移動方向不當,也可能在移動過程中造成暫時性或永久性的牙齦萎縮與骨頭吸收。這需要矯正醫師精準的控力。
原因五:不良口腔習慣(磨牙、剔牙)
夜間磨牙或白天緊咬,會對牙齒和牙周組織產生巨大的側向力。這種非功能性的、持續的壓力,可能超過牙周組織的耐受度,導致牙齒周圍的骨頭吸收和牙齦退縮。這類萎縮通常比較廣泛。
另一個常見壞習慣:用牙籤或甚至指甲粗暴地剔牙。用尖銳物體反覆戳刺牙齦縫隙,會直接損傷牙齦乳頭(兩牙之間的三角形牙齦),導致乳頭萎縮,牙縫變大。正確的做法是使用牙線或牙間刷,以「滑入」而非「按壓進去」的方式清潔側面。
原因六:基因與生理結構因素
有些人天生牙齦組織較薄、較脆弱,或者牙齒的骨頭包覆本來就比較薄。這種「生物型態」屬於薄型牙齦的人,對外來刺激(如刷牙摩擦、發炎)的耐受度較低,更容易出現牙齦萎縮。你可能會發現家族中多人都有類似情況。
此外,繫帶(連接嘴唇、臉頰和牙齦的肌肉纖維帶)如果附連位置過高、過緊,可能會在嘴唇活動時拉扯牙齦邊緣,長期下來也可能導致局部牙齦被拉開而萎縮。
原因七:賀爾蒙變化影響
這點在女性身上特別明顯。青春期、月經週期、懷孕、更年期等階段的賀爾蒙波動,會使牙齦組織對牙菌斑的刺激更加敏感,更容易出現紅腫、發炎等反應,即所謂的「賀爾蒙性牙齦炎」。如果這個期間口腔衛生沒跟上,慢性的發炎就可能加速牙齦組織的破壞與萎縮。
這不是說賀爾蒙變化直接導致萎縮,而是它讓你的牙齦處於一個「高風險」的脆弱狀態,對其他傷害因素的抵抗力變差了。
原因八:其他潛在健康問題與藥物
某些全身性疾病會影響牙周組織的健康。例如控制不良的糖尿病,會影響微血管循環和身體的癒合能力,讓牙周病更難控制,進而加劇萎縮。
一些藥物也可能有副作用。最典型的是某些抗癲癇藥(如Phenytoin)、降血壓藥(如Nifedipine)和免疫抑制劑,可能引起牙齦纖維性增生,但增生的牙齦反而更容易因清潔困難而發炎,在複雜的發炎與清潔過程中,也可能伴隨局部萎縮現象。此外,某些抗憂鬱藥、抗組織胺會減少唾液分泌,導致口乾,缺少了唾液的清潔與保護,蛀牙和牙周病風險上升,間接影響牙齦。
一個常被誤解的關鍵點: 很多人以為牙結石會「把牙齦撐開」導致萎縮。實際上,牙結石本身是粗糙多孔的,上面沾滿細菌,它主要是通過引起並加劇牙齦發炎,來間接導致下方的骨頭被吸收,牙齦才跟著萎縮。所以,清除牙結石是停止發炎、阻止萎縮惡化的關鍵一步,而不是導致萎縮的原因。
| 原因類型 | 具體成因 | 主要影響區域 | 關鍵行動 |
|---|---|---|---|
| 物理性傷害 | 錯誤刷牙、不良假牙壓迫、粗暴使用牙籤 | 單顆或局部,常見於犬齒、前臼齒外側 | 改用軟毛牙刷與正確技巧、請牙醫調整假牙、學習使用牙線 |
| 生物性破壞 | 牙周病(細菌感染發炎) | 廣泛性,但可能從局部開始 | 立即接受牙周檢查與治療(如深層清潔) |
| 功能性壓力 | 咬合不正、夜間磨牙、牙齒擁擠 | 受力過大的單顆或數顆牙齒 | 諮詢矯正醫師評估、製作夜間咬合板 |
| 生理性因素 | 基因(牙齦薄)、賀爾蒙變化、繫帶過高 | 取決於具體因素,可能對稱或局部 | 加強溫和清潔、定期監控、必要時進行繫帶修整術 |
預防與補救行動指南
知道原因後,行動才有方向。預防永遠勝於治療。
- 立即檢視你的刷牙工具與方式: 今天就換一支軟毛牙刷,並上網搜尋「貝氏刷牙法」影片跟練。電動牙刷使用者,記得讓刷頭「浮」在牙齒表面工作。
- 把牙線/牙間刷變成每日習慣: 光是刷牙只能清潔60%的牙面,牙縫才是牙周病的起點。每晚睡前務必使用。
- 預約一次完整的牙周檢查: 不要等到痛才看牙醫。請牙醫師用牙周探針檢查牙周囊袋深度,並拍攝全口X光片評估骨頭狀況。這是了解你牙齦健康基線的唯一方法。
- 定期洗牙: 每半年洗牙一次,清除自己清不掉的牙結石,同時讓醫師有機會定期檢視你的牙齦狀態。
- 處理已知問題: 如果你知道自己有磨牙習慣,諮詢製作咬合板。如果牙齒排列嚴重影響清潔或咬合,將矯正納入考慮。
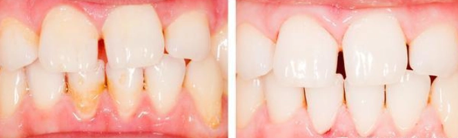
- 已發生萎縮怎麼辦: 第一步永遠是「控制原因」。先透過牙周治療控制發炎,改正刷牙習慣。如果萎縮已造成嚴重敏感或美觀問題,再與牙周專科醫師討論「牙根覆蓋術」(牙齦移植手術)的可能性。這是一種取上顎部分組織覆蓋裸露牙根的手術,目的是重建保護層。

牙齦萎縮常見問答
總結來說,牙齦萎縮是一個多因素造成的結果。它很少是因為單一原因,更多時候是兩三種原因疊加在一起。對抗它的核心策略,就是從今天開始,用對的工具、對的方法做好日常清潔,並定期讓專業牙醫為你把關。別讓無知和忽視,成為你牙齦健康最大的敵人。