照鏡子時,有沒有覺得自己的牙齒看起來越來越長?或是吃冰喝熱時,牙齒根部傳來一陣酸軟刺痛?更明顯的是,牙縫好像變大了,食物老是卡住。這些都不是你的錯覺,很可能是「牙齦萎縮」找上門了。它不像牙痛那麼劇烈,卻像沉默的土石流,一點一點帶走支撐你牙齒的根基。很多人以為這是老化的必然,但我想告訴你,超過一半的案例是可以透過正確習慣避免或減緩的。我常跟患者說,對抗牙齦萎縮,是一場你每天都在進行的「牙齦保衛戰」。
牙齦萎縮是什麼?為什麼它悄悄發生?
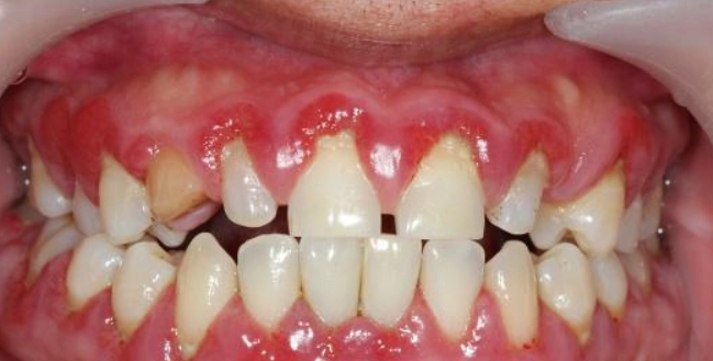
牙齦萎縮,顧名思義就是牙齦緣的位置向牙根方向退縮,導致原本被包覆的牙根表面暴露出來。你可以把它想像成一件高領毛衣的領口鬆了,往下滑,脖子就露出來了。露出的牙根沒有堅硬的琺瑯質保護,只有較軟的牙骨質,所以會敏感,也更容易蛀牙(稱為牙根齲齒)。
它之所以「悄悄」發生,是因為主因往往是長期、慢性的刺激。我整理出最常見的五大推手:
- 牙周病:這是頭號戰犯。牙菌斑中的細菌引起牙齦發炎,進而破壞牙齦下的齒槽骨。骨頭流失了,失去支撐的牙齦自然會退縮。這是一種病理性的萎縮。
- 錯誤的刷牙方式:這可能是最被低估的原因。很多人以為用力刷才乾淨,拿著硬毛牙刷像刷皮鞋一樣來回橫刷。這種物理摩擦會直接磨耗牙齦組織和牙頸部,造成「楔形缺損」並伴隨牙齦萎縮。我見過不少患者,牙齒刷凹了一條溝,旁邊的牙齦也退下去了。
- 牙齒排列不整或咬合創傷過度突出或排列混亂的牙齒,其牙齦常因骨頭較薄、清潔不易或承受異常咬合力而更容易萎縮。夜間磨牙或緊咬牙關(學名:磨牙症)產生的巨大側向力,也會讓牙周組織受損、牙齦退縮。
- 遺傳與生理因素有些人天生牙齦組織較薄、齒槽骨形態不佳,這類「薄牙齦生物型」的人,對發炎或物理刺激的耐受度更低,更容易發生萎縮。單純老化也可能導致輕微退縮,但程度通常不若前述原因嚴重。
- 不良口腔習慣或修復體長期用牙齒開瓶蓋、咬指甲。不合適的假牙邊緣(如活動假牙的勾子)或牙冠邊緣未密合,持續刺激壓迫牙齦,也會導致局部萎縮。

6個核心預防策略,從今天開始實踐
知道了原因,預防就有方向。這不是複雜的醫學工程,而是融入日常的細心維護。
1. 學會「貝氏刷牙法」,並選對工具
這是預防因刷牙不當導致萎縮的基石。口訣是「刷毛對準牙齦溝,45度輕壓小圓弧」。
具體做法:將刷毛對準牙齒與牙齦的交界處(牙齦溝),刷毛與牙齒呈45度角,用非常輕的力度(約150公克重,相當於一顆水煮蛋的重量),以兩顆牙齒為單位,做小幅度的水平圓弧狀震動約10-20下,再往旁邊移動。切記是「震動」而非「拉鋸」。刷咬合面時可以來回刷。我強烈建議對著鏡子練習,確保後排牙齒的外側面也能刷到45度角。
- 牙刷: 刷頭要小,刷毛要軟。小刷頭才能靈活清潔最後一顆牙的後方。軟毛才能減少對牙齦的磨損。那些「超潔淨」、「炭分子」的硬毛牙刷,請直接跳過。
- 電動牙刷: 對於手部不靈活或總是控制不好力道的人,聲波震動牙刷是個好選擇。它的清潔力來自高頻震動產生的流體力學效應,能深入牙縫,你只需輕輕將刷頭放在每顆牙齒表面移動即可,多數機型還有壓力感應提醒,防止你用力過猛。
2. 每日使用牙線或牙間刷,清潔牙縫「側面」
刷牙只能清潔牙齒的正面、背面和咬合面,佔總面積的60%。剩下40%的牙齒鄰接面,全靠牙線或牙間刷。這裡的清潔死角正是牙周病的起點。
牙線正確用法: 取約45公分長,纏繞在中指,用食指與拇指繃緊約2公分段,以「緩慢拉鋸」方式進入牙縫。切勿用力彈下,會傷到牙齦。進入後,將牙線貼緊其中一顆牙的側面,呈「C字形」包住牙齒,然後上下刮除牙面菌斑。清完一面,再貼緊隔壁牙齒的另一面重複動作。全程輕柔。
牙間刷何時用: 如果你的牙縫已經因為萎縮或牙周病而變大,牙線清潔效果會打折。這時就該用牙間刷。選擇能輕鬆進出牙縫的最大尺寸,進去後前後移動清潔即可。台灣許多藥妝店都買得到各種尺寸。
3. 定期洗牙與牙周檢查,別等痛了才看醫生
根據台灣衛生福利部的建議,每半年應進行一次口腔檢查與洗牙。這不只是把牙結石清掉那麼簡單。專業的牙科醫師或牙科衛生師能:
- 清除你日常清潔不到的頑固結石(尤其是牙齦下的)。
- 早期發現牙齦萎縮的跡象,並找出可能原因(例如某顆牙有異常咬合)。
- 評估你的牙周囊袋深度,這是判斷牙周病嚴重程度的關鍵指標。
- 根據你的口腔狀況,給予個人化的清潔工具建議(例如你該用哪種牙間刷)。
把洗牙當成汽車定期保養,而不是等到引擎冒煙才進廠大修。
4. 正視咬合問題與夜間磨牙
如果你有牙齒排列極度不整、或有夜間磨牙的習慣(早上起床覺得下巴酸、牙齒緊繃,伴侶聽到磨牙聲),這會對特定牙齒的牙周組織造成持續性傷害。
諮詢牙醫,評估是否需要:
- 齒顎矯正: 將牙齒排列到較理想的位置,改善清潔環境與受力。
- 製作咬合板(夜間護套): 這是一個在睡覺時配戴的透明牙套,能隔開上下牙齒,吸收並分散磨牙產生的巨大咬合力,保護你的牙齒和牙周組織。這是治療磨牙症最常見且有效的方法。
5. 戒除不良口腔習慣
停止用牙齒當工具。開瓶器一個沒多少錢,但牙齒治療的費用和時間成本高得多。也留意自己是否有無意識的咬指甲、咬筆習慣。
6. 若有敏感症狀,使用抗敏感牙膏並正確塗抹
如果已經有輕微牙根暴露導致敏感,可以使用含有「硝酸鉀」或「氟化亞錫」成分的抗敏感牙膏。一個小技巧:刷完牙後,取一點牙膏塗抹在敏感的牙根部位,靜置一兩分鐘再漱口,讓有效成分有更長時間作用,效果更好。
- 迷信偏方: 用粗鹽、蘇打粉等顆粒物摩擦牙齦,聲稱可以「殺菌健齦」。這根本是物理性破壞,只會加速牙齦磨損與萎縮。
- 使用來路不明的漱口水: 有些標榜強效殺菌的漱口水可能含有高濃度酒精或刺激性化學成分,長期使用可能破壞口腔菌群平衡,甚至刺激黏膜。
- 忽視牙齦出血: 牙齦出血是發炎的明確信號。別以為「刷用力一點把髒東西刷掉就不出血了」,那只會更糟。應該檢視是否是該區域清潔不當,並輕柔地加強清潔。
當牙齦已萎縮:專業治療與日常維護的平衡
如果萎縮已經發生,我們的心態要調整為「控制與修復」。首要任務是控制根本原因(如治療牙周病、改正刷牙方式),讓萎縮停止。在這個穩定的基礎上,再考慮是否進行手術修復。
牙根覆蓋術(Gum Grafting)是主要的外科治療方式,目的是將萎縮的牙根重新覆蓋起來。手術方式主要有幾種:
- 自體結締組織移植: 從上顎取一小塊結締組織,縫合覆蓋在暴露的牙根上。這是黃金標準,成功率與長期穩定性高。
- 游離牙齦移植: 取上顎的牙齦組織(包含表皮)移植。常用於增加角化牙齦的寬度。
- 引導組織再生術: 使用生物膜材料引導牙周組織生長。
- 使用替代性生物材料: 如膠原蛋白基質等,免去取自身組織的第二次傷口。
是否要手術,取決於:1. 萎縮是否持續惡化。2. 美觀需求(如前牙區)。3. 牙根敏感是否嚴重影響生活。4. 清潔是否極度困難導致鄰接面蛀牙風險高。這需要與牙周病專科醫師詳細評估。
更重要的是,即使做了成功的手術,如果術後沒有維持良好的口腔衛生習慣,萎縮依然可能復發。手術是「重建防線」,而日常清潔是「長期駐守」。
關於牙齦萎縮,你最想問的幾個問題
守住牙齦健康,沒有捷徑,靠的就是正確的知識與持之以恆的行動。從今晚刷牙開始,試著放輕你的力道,對準那45度角。你的牙齦會感受到這份細心,並用更長久的健康來回報你。