快速導覽:找到你需要的答案
早上刷牙時,突然發現牙齦鼓起一包,碰到就痛,連吃東西都像在受刑。這種經驗我也有過,一開始以為是火氣大,猛喝椰子水,結果腫包越來越大,最後痛到半邊臉都麻了,才心不甘情不願去看牙醫。結果被醫生念了一頓:「這是蜂窩性組織炎的前兆,再晚幾天來,可能要住院打抗生素了。」
從那次之後,我才認真去理解牙齦腫背後的訊號。它不只是「火氣大」三個字可以帶過的,而是你的口腔發出的明確警報。這篇文章,我想把那次學到的教訓,以及後來請教牙醫朋友的專業知識整理出來。我們不講空泛的理論,直接告訴你牙齦腫了該怎麼做,什麼情況可以自己處理,什麼時候必須立刻衝診所。
牙齦腫起來,身體到底在告訴你什麼?
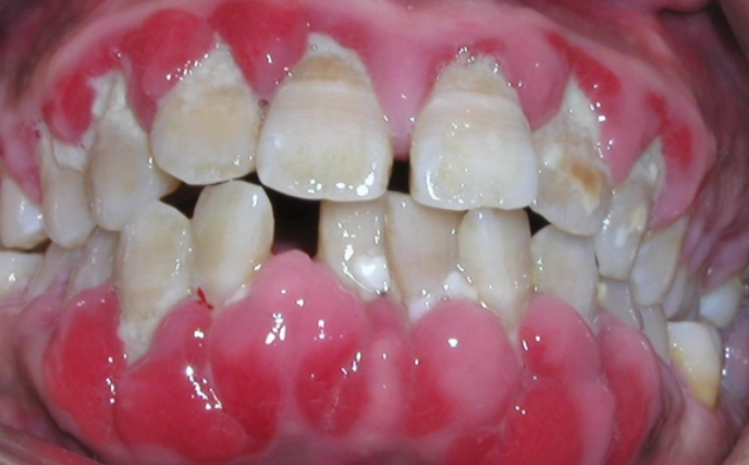
把牙齦想成牙齒的「地基」。健康的地基是粉紅色、緊貼著牙齒的。一旦它紅腫、變軟、甚至流血,就代表地基正在發炎。絕大多數的腫脹,根源都來自於「清潔死角」。
你可以先做個簡單的自我檢查:腫脹是侷限在一顆牙齒周圍,還是一整排牙齦都浮腫的?按壓時會不會有黃白色膿液從牙齦縫滲出來?這能幫你初步判斷問題的類型。
| 腫脹類型與可能原因 | 典型特徵 | 常見觸發情境 |
|---|---|---|
| 局部性牙齦膿包 | 一顆牙的牙齦上出現明顯鼓起的膿包,按壓有痛感或異味。 | 深層蛀牙導致牙髓壞死、根尖發炎;舊根管治療失敗;牙根裂開。 |
| 廣泛性牙齦紅腫出血 | 整排牙齦邊緣紅腫,刷牙或用牙線時容易出血。 | 牙菌斑堆積引發牙齦炎;懷孕期間荷爾蒙變化;服用特定藥物(如某些降血壓藥)。 |
| 智齒周圍腫痛(冠周炎) | 最後方牙齦腫脹,可能伴隨張口困難、喉嚨痛。 | 智齒萌出不全,牙齦瓣與牙齒之間形成藏污納垢的「盲袋」。 |
| 外傷或食物刺激 | 特定位置突然腫痛,可能有潰瘍或異物感。 | 被薯片、魚刺刺傷牙齦;過度用力使用牙籤;不當的假牙或矯正器摩擦。 |
很多人以為牙齦腫是「補身體」就會好,這是最大的誤區。當細菌在牙周囊袋或牙根深處繁殖,身體的免疫系統會派白血球去打仗,戰場的遺跡(膿液)和發炎反應,就形成了你看到的「腫」。這時你吃再多退火的東西,也消滅不了躲在牙結石或蛀牙洞裡的細菌軍團。
黃金自救三步驟:在家就能做的正確舒緩法
如果你只是輕微腫痛,還沒到痛不欲生的程度,可以試試這套標準流程。目的是減輕不適、清潔患部,為後續就醫創造好的條件,而不是「治癒」它。
第一步:溫和而徹底的清潔
腫痛的牙齦會讓人不敢刷牙,但越不刷,細菌越多,腫得越厲害。這是惡性循環。
改用刷頭小、刷毛軟的牙刷。避開傳統左右橫刷,改用「貝氏刷牙法」:刷毛對準牙齒與牙齦交界處,呈45度角,原地做小幅度的圓形震動,每次刷兩到三顆牙。重點是「輕」但要「到位」。你可以參考衛福部口腔健康司的衛教影片,有很清楚的示範。
接著,務必使用牙線。腫痛處的牙縫可能更緊,可以選用塗有蠟的扁線牙線,輕輕滑入牙縫後,緊貼一側牙面呈「C」字形上下刮除牙菌斑。很多人只用牙線「拉鋸」,這清不乾淨。
第二步:溫鹽水漱口,低成本高效益
做法:一杯約240毫升的溫水(體感溫度即可,勿過燙),加入半茶匙的食鹽,攪拌溶解。含在口中,特別在腫痛處鼓漱30秒後吐掉,每天可進行4-5次。
原理:鹽水是高滲透壓溶液,能幫助減輕組織水腫,並提供一個讓細菌不易生存的環境。它能溫和地沖走食物殘渣,對輕微外傷也有安撫效果。這是我試過最安全無副作用的物理性舒緩方法。
第三步:調整飲食與生活習慣
暫時告別那些需要用力咀嚼或太刺激的食物。像是堅果、芭樂、油炸物、麻辣鍋,都會直接刺激發炎的牙齦。改吃軟質食物,如粥、蒸蛋、豆腐。
多喝水,幫助身體代謝。如果腫痛側不方便咀嚼,就用另一側,但記得飯後要清潔兩側。
可以嘗試「局部冷敷」。用毛巾包裹冰袋,敷在臉頰對應腫痛的部位,每次15分鐘,間隔15分鐘以上。這能幫助血管收縮,減輕腫脹感和疼痛。注意是敷臉頰,不是直接把冰塊含在嘴裡。
別再亂試了!這些常見錯誤反而讓腫痛加劇
網路上流傳很多「偏方」,有些不僅沒用,還可能讓情況惡化。
- 錯誤一:用鹽巴或蒜頭直接摩擦腫脹處。 這非常危險。發炎的牙齦黏膜已經受傷,粗鹽或蒜頭的強烈刺激性,等同於在傷口上撒鹽,可能造成化學性灼傷,讓潰瘍更嚴重,癒合更慢。
- 錯誤二:自行服用上次看醫生剩下的抗生素。 牙齦感染細菌的種類很多,不同的抗生素針對不同菌種。吃錯藥不只無效,還可能導致細菌產生抗藥性,或引起不必要的副作用。用藥必須由醫生診斷後開立。
- 錯誤三:用指尖去擠壓牙齦上的膿包。 你以為把膿擠出來就好了?非專業的擠壓可能把細菌推向更深層的組織,引發更廣泛的感染,甚至導致危險的蜂窩性組織炎。膿液需要由醫生進行無菌的切口引流。
- 錯誤四:以為不痛了就是好了。 這是最大的陷阱。有時急性發炎轉為慢性,腫痛感會減輕,但感染源(如蛀牙、牙結石)依然存在。細菌還在持續破壞你的牙周組織或牙槽骨,只是你感覺不到。等到下次再大爆發,問題往往更嚴重。
一個關鍵觀念:居家護理的核心目標是「控制」與「舒緩」,為就醫爭取時間。除非是單純的外傷或輕微牙齦炎,否則它無法「根治」由深層蛀牙、牙周病或智齒引起的感染性腫脹。把居家護理當成終極解決方案,是延誤病情的主因。
紅色警報:出現這些症狀,請立刻去看牙醫
自我護理有它的極限。當身體出現以下任何一種「紅色警報」訊號時,請不要再觀察了,立刻預約牙醫,或直接去有牙科急診的醫院。
警報一:腫脹範圍擴大。 從牙齦腫到臉頰、下巴甚至脖子,外觀明顯不對稱,按壓皮膚會痛。這極可能是感染擴散,引發蜂窩性組織炎。
警報二:出現全身性症狀。 開始發燒、畏寒,或感覺異常疲憊。這表示感染可能已進入血液循環,成為全身性的問題。
警報三:嚴重影響基本功能。 痛到無法入睡、嘴巴張不開(張口受限)、吞嚥困難或呼吸有點不順暢。任何影響呼吸的跡象都是急症。
警報四:膿包反覆出現。 同一個位置的牙齦膿包,消了又長,長了又消。這幾乎100%確認牙齒根部有持續的感染源,必須靠X光片診斷並進行根管治療或拔除。
記得,牙科感染進展可以很快。我朋友的病人,從牙齦微腫到半邊臉腫得像麵包,只花了48小時。
牙醫會怎麼處理?了解治療流程不心慌
走進診所,你可以預期醫生會做這些事,了解流程能減少未知的恐懼。
首先,醫生會問診並做口腔檢查,用探針輕觸腫脹處和牙齒。接著,九成九會拍一張「根尖X光片」或「環口X光片」。這張片子至關重要,它能像地圖一樣,顯示骨頭有沒有被破壞、蛀牙的深度、根管裡的狀況、智齒的位置。看不到這張片子,再厲害的醫生也像在摸黑打仗。
根據診斷結果,治療方向大致分幾種:
- 單純牙齦炎/牙結石堆積:進行全口或局部「洗牙(牙結石清除)」。超音波洗牙機頭能震落牙齦上下方的結石。洗牙後一週內,腫脹和出血會明顯改善。
- 牙周病引起的牙齦腫與流膿:可能需要更深入的「牙周病統合照護」,包括牙根平整術等,徹底清潔牙周囊袋。國民健康署有推動相關計畫,可向診所諮詢。
- 蛀牙或舊填充物引起的根尖膿腫:必須進行「根管治療(抽神經)」,清除牙髓腔和根管內的感染組織,並用特殊材料封填起來,以保全牙齒。如果牙齒結構破壞太嚴重,則可能建議拔除。
- 智齒冠周炎:急性期會先進行「盲袋沖洗」並上藥,緩解症狀。待消腫後,通常會建議「拔除智齒」,一勞永逸,因為那個「盲袋」結構永遠是清潔的死角。
- 已形成膿腫(膿包):醫生可能會在局部麻醉下,做一個小小的「切開引流術」,讓深部的膿液有出口排出,壓力釋放了,疼痛感會立刻大幅減輕。這只是急救處理,後續仍需針對病因治療。
治療後,醫生會開立適當的止痛藥,或視情況開立抗生素。請務必遵照醫囑服藥,並完成所有療程,不要因為不痛了就自行停藥。
從一個案例看,忽視牙齦腫的代價有多大
我同事小美,去年右下排牙齦反覆腫一個小包,時好時壞。她工作忙,每次都靠止痛藥撐過去,心想「反正會消,應該沒事」。拖了快一年,直到那顆牙齒開始搖晃,她才緊張地去看醫生。
X光片出來,大家都倒抽一口氣。原本應該包覆牙根的骨頭,因為長期慢性發炎的侵蝕,已經被吃掉一大半,像水土流失後裸露的樹根。那顆牙是臼齒,本來很健康,但因為旁邊一顆智齒長歪,形成一個清潔黑洞,食物塞進去腐爛,細菌就攻擊隔壁的臼齒。
結果是什麼?臼齒因為骨頭支撐不足,保不住了,必須拔掉。智齒也要拔。後續還要做假牙或植牙,花費的時間和金錢是當初及時處理的十幾倍。更別提過程中承受的心理壓力和牙齒缺失帶來的不便。
小美後來跟我說,她最後悔的就是把「牙齦腫」當成一個獨立的、會自己好的小症狀,而沒意識到它是「牙齒地基正在崩塌」的求救訊號。
關於牙齦腫,你最想問的幾個問題
智齒周圍的牙齦腫痛,可以自己處理嗎?
智齒(尤其是水平智齒)周圍牙齦腫痛,多半是「智齒冠周炎」,是食物殘渣卡在牙齦瓣裡引發的嚴重感染。自己沖洗效果有限,且容易因角度不對而將殘渣推得更深。這類腫痛常伴隨張口困難、臉頰腫脹,甚至發燒。最根本的處理方式是讓牙醫進行局部清創、上藥,並評估是否需要拔除智齒。自行服用止痛藥或抗生素只是壓制症狀,感染源未除,很快會復發。
懷孕期間牙齦特別容易腫脹出血,該如何安全護理?
懷孕時荷爾蒙變化會讓牙齦對牙菌斑更敏感,稱為「妊娠性牙齦炎」。安全護理的核心是「溫和但徹底」的清潔。建議使用刷毛更軟的牙刷,搭配不含酒精的溫和漱口水。重點在於刷牙時動作放輕,但確保牙齦與牙齒交界處都被清潔到。許多孕婦怕出血而不敢刷,反而讓發炎更嚴重。可以在孕期4到6個月較穩定的時期進行一次專業洗牙,這是安全且被鼓勵的,能有效控制發炎。
有沒有能快速讓牙齦消腫的急救方法?
所謂的「快速」是相對的。最有效的急救是「溫鹽水漱口」,一杯溫水加入半茶匙食鹽,每天漱4-5次,能減輕組織液滲出、略微消腫並清潔傷口。另一方法是「局部冷敷」,用毛巾包裹冰袋敷在臉頰對應腫脹處,每次15分鐘,間隔15分鐘,有助收縮血管、減緩腫脹與疼痛。但必須強調,這些都是「緩兵之計」,目的是讓你舒服一點以便就醫。若腫痛來自深層感染(如膿包),這些方法無法根除問題。
聽說用鹽巴、蒜頭或茶包敷在腫脹處有效,是真的嗎?
這些都是高風險的民間偏方。直接將粗鹽或蒜泥敷在已發炎潰瘍的牙齦上,強烈刺激性可能造成化學性灼傷,讓黏膜傷口更大更痛,延後癒合。茶包敷貼的收斂效果未經證實,且可能將茶葉碎屑殘留在牙齦縫中。牙齦腫脹的本質是感染或發炎,正確對策是「溫和清潔」與「專業引流」(如果需要)。將未經消毒的異物放在開放性傷口上,極可能引入更多細菌,導致二次感染,絕對不建議嘗試。
總的來說,面對牙齦腫,正確的態度是「戰略上藐視,戰術上重視」。不要過度恐慌,但必須嚴肅看待。掌握正確的居家護理知識,能幫你度過急性期的不適;而學會辨識何時該求助專業,則能幫你保住牙齒,避免小病拖成大病。記住,你的牙齦不會無緣無故腫起來,它是在喊救命。聽懂它的語言,就是對自己最好的投資。